产品中心
当前位置:首页>产品中心Anti-NMDAR1
货号: bs-23343R 基本售价: 1380.0 元 规格: 100ul
- 规格:100ul
- 价格:1380.00元
- 规格:200ul
- 价格:2200.00元
产品信息
- 产品编号
- bs-23343R
- 英文名称
- NMDAR1
- 中文名称
- 离子型谷氨酸受体1抗体
- 别 名
- NMDA-NR1; N-Methyl-d-Asprtate receptor 1; GRIN1; NMDA1; NR1; Glutamate [NMDA] receptor subunit zeta 1; Glutamate receptor ionotropic N methyl D aspartate 1; Grin 1; Grin1; N methyl D aspartate receptor channel; N-methyl-D-aspartate receptor; N-methyl-D-aspartate receptor subunit NR1; NMD-R1; NMDA 1; NMDA NR1; NMDA R1; NMDA receptor 1; NMDA1; NMDAR 1; NMDAR; NR 1; NMDZ1_HUMAN.
- 规格价格
- 100ul/1380元购买 200ul/2200元购买 大包装/询价
- 说 明 书
- 100ul 200ul
- 研究领域
- 细胞生物 免疫学 神经生物学 信号转导 细胞凋亡 转录调节因子 细胞膜受体
- 抗体来源
- Rabbit
- 克隆类型
- Polyclonal
- 交叉反应
- Human, Mouse, Rat, Chicken, Dog, Cow,
- 产品应用
- WB=1:500-2000 IHC-P=1:400-800 IHC-F=1:400-800 ICC=1:100-500 IF=1:100-500 (石蜡切片需做抗原修复)
not yet tested in other applications.
optimal dilutions/concentrations should be determined by the end user.
- 分 子 量
- 103kDa
- 细胞定位
- 细胞膜
- 性 状
- Lyophilized or Liquid
- 浓 度
- 1mg/ml
- 免 疫 原
- KLH conjugated synthetic peptide derived from human NMDAR1:831-930/938 <Cytoplasmic>
- 亚 型
- IgG
- 纯化方法
- affinity purified by Protein A
- 储 存 液
- 0.01M TBS(pH7.4) with 1% BSA, 0.03% Proclin300 and 50% Glycerol.
- 保存条件
- Store at -20 °C for one year. Avoid repeated freeze/thaw cycles. The lyophilized antibody is stable at room temperature for at least one month and for greater than a year when kept at -20°C. When reconstituted in sterile pH 7.4 0.01M PBS or diluent of antibody the antibody is stable for at least two weeks at 2-4 °C.
- PubMed
- PubMed
- 产品介绍
- background:
Neuronal Marker
The protein encoded by this gene is a critical subunit of N-methyl-D-aspartate receptors, members of the glutamate receptor channel superfamily which are heteromeric protein complexes with multiple subunits arranged to form a ligand-gated ion channel. These subunits play a key role in the plasticity of synapses, which is believed to underlie memory and learning. Cell-specific factors are thought to control expression of different isoforms, possibly contributing to the functional diversity of the subunits. Alternatively spliced transcript variants have been described. [provided by RefSeq, Jul 2008]
Function:
NMDA receptor subtype of glutamate-gated ion channels with high calcium permeability and voltage-dependent sensitivity to magnesium. Mediated by glycine. This protein plays a key role in synaptic plasticity, synaptogenesis, excitotoxicity, memory acquisition and learning. It mediates neuronal functions in glutamate neurotransmission. Is involved in the cell surface targeting of NMDA receptors.
Subunit:
Forms heteromeric channel of a zeta subunit (GRIN1), a epsilon subunit (GRIN2A, GRIN2B, GRIN2C or GRIN2D) and a third subunit (GRIN3A or GRIN3B); disulfide-linked. Found in a complex with GRIN2A or GRIN2B, GRIN3A or GRIN3B and PPP2CB. Interacts with DLG4 and MPDZ. Interacts with LRFN1 and LRFN2. Interacts with MYZAP.
Subcellular Location:
Cell membrane; Multi-pass membrane protein. Cell junction, synapse, postsynaptic cell membrane. Cell junction, synapse, postsynaptic cell membrane, postsynaptic density. Note=Enriched in post-synaptic plasma membrane and post-synaptic densities.
Post-translational modifications:
NMDA is probably regulated by C-terminal phosphorylation of an isoform of NR1 by PKC. Dephosphorylated on Ser-897 probably by protein phosphatase 2A (PPP2CB). Its phosphorylated state is influenced by the formation of the NMDAR-PPP2CB complex and the NMDAR channel activity.
DISEASE:
Defects in GRIN1 are the cause of mental retardation autosomal dominant type 8 (MRD8) [MIM:614254]. Mental retardation is characterized by significantly below average general intellectual functioning associated with impairments in adaptative behavior and manifested during the developmental period.
Similarity:
Belongs to the glutamate-gated ion channel (TC 1.A.10.1) family. NR1/GRIN1 subfamily.
SWISS:
Q05586
Gene ID:
2902
Database links:Entrez Gene: 2902 Human
Entrez Gene: 14810 Mouse
Entrez Gene: 24408 Rat
Omim: 138249 Human
SwissProt: Q05586 Human
SwissProt: P35438 Mouse
SwissProt: P35439 Rat
Unigene: 558334 Human
Unigene: 278672 Mouse
Unigene: 9840 Rat
Important Note:
This product as supplied is intended for research use only, not for use in human, therapeutic or diagnostic applications.
- 产品图片
Sample:
Cerebrum (Rat) Lysate at 40 ug
Primary: Anti-NMDAR1 (bs-23343R) at 1/1000 dilution
Secondary: IRDye800CW Goat Anti-Rabbit IgG at 1/20000 dilution
Predicted band size: 103 kD
Observed band size: 113 kD
Sample:
Cerebrum (Mouse) Lysate at 40 ug
Primary: Anti-NMDAR1 (bs-23343R) at 1/300 dilution
Secondary: IRDye800CW Goat Anti-Rabbit IgG at 1/20000 dilution
Predicted band size: 103 kD
Observed band size: 113 kD
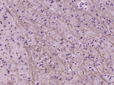
Paraformaldehyde-fixed, paraffin embedded (Rat brain); Antigen retrieval by boiling in sodium citrate buffer (pH6.0) for 15min; Block endogenous peroxidase by 3% hydrogen peroxide for 20 minutes; Blocking buffer (normal goat serum) at 37°C for 30min; Antibody incubation with (NMDAR1) Polyclonal Antibody, Unconjugated (bs-23343R) at 1:400 overnight at 4°C, followed by operating according to SP Kit(Rabbit) (sp-0023) instructions and DAB staining.
Paraformaldehyde-fixed, paraffin embedded (Mouse brain); Antigen retrieval by boiling in sodium citrate buffer (pH6.0) for 15min; Block endogenous peroxidase by 3% hydrogen peroxide for 20 minutes; Blocking buffer (normal goat serum) at 37°C for 30min; Antibody incubation with (NMDAR1) Polyclonal Antibody, Unconjugated (bs-23343R) at 1:400 overnight at 4°C, followed by operating according to SP Kit(Rabbit) (sp-0023) instructions and DAB staining.

