产品中心
当前位置:首页>产品中心Anti-Phospho-CD18 (Thr758)
货号: bs-10462R 基本售价: 1580.0 元 规格: 100ul
产品信息
- 产品编号
- bs-10462R
- 英文名称
- Phospho-CD18 (Thr758)
- 中文名称
- 磷酸化整合素β2/Integrin β2抗体
- 别 名
- CD18 (Phospho Thr758); CD18 (Phospho-Thr758); CD18 (Phospho T758); p-CD18 (T758); p-CD18 (Thr758); Integrin beta 2; 95 subunit beta; CD 18; CD18; Cell surface adhesion glycoprotein LFA 1/CR3/P150,959 beta subunit precursor); Cell surface adhesion glycoproteins LFA 1/CR3/p150,95 subunit beta; Cell surface adhesion glycoproteins LFA-1/CR3/p150; Complement receptor C3 beta subunit; Complement receptor C3 subunit beta; Integrin beta chain beta 2; Integrin beta-2; Integrin, beta 2 (complement component 3 receptor 3 and 4 subunit); ITB2_HUMAN; ITGB2; LAD; LCAMB; Leukocyte associated antigens CD18/11A, CD18/11B, CD18/11C; Leukocyte cell adhesion molecule CD18; LFA 1; LFA1; Lymphocyte function associated antigen 1; MAC 1; MAC1; MF17; MFI7; OTTHUMP00000115278; OTTHUMP00000115279; OTTHUMP00000115280; OTTHUMP00000115281; OTTHUMP00000115282.
- 规格价格
- 100ul/1580元购买 大包装/询价
- 说 明 书
- 100ul
- 产品类型
- 磷酸化抗体
- 研究领域
- 肿瘤 细胞生物 细胞粘附分子 细胞表面分子
- 抗体来源
- Rabbit
- 克隆类型
- Polyclonal
- 交叉反应
- Human, Mouse, Rat, Chicken, Dog, Pig, Cow, Horse, Rabbit, Sheep, Guinea Pig,
- 产品应用
- WB=1:500-2000 ELISA=1:500-1000 IHC-P=1:400-800 IHC-F=1:400-800 Flow-Cyt=1μg/Test ICC=1:100-500 IF=1:100-500 (石蜡切片需做抗原修复)
not yet tested in other applications.
optimal dilutions/concentrations should be determined by the end user.
- 分 子 量
- 82kDa
- 细胞定位
- 细胞膜
- 性 状
- Lyophilized or Liquid
- 浓 度
- 1mg/ml
- 免 疫 原
- KLH conjugated synthesised phosphopeptide derived from human CD18 around the phosphorylation site of Thr758:SA(p-T)TT
- 亚 型
- IgG
- 纯化方法
- affinity purified by Protein A
- 储 存 液
- 0.01M TBS(pH7.4) with 1% BSA, 0.03% Proclin300 and 50% Glycerol.
- 保存条件
- Store at -20 °C for one year. Avoid repeated freeze/thaw cycles. The lyophilized antibody is stable at room temperature for at least one month and for greater than a year when kept at -20°C. When reconstituted in sterile pH 7.4 0.01M PBS or diluent of antibody the antibody is stable for at least two weeks at 2-4 °C.
- PubMed
- PubMed
- 产品介绍
- background:
The product of this gene belongs to the integrin beta chain family of proteins. Integrins are integral cell-surface proteins composed of an alpha chain and a beta chain. This gene encodes the integrin beta chain beta 2. A given chain may combine with multiple partners resulting in different integrins. For example, beta 2 combines with the alpha L chain to form the integrin LFA-1, and combines with the alpha M chain to form the integrin Mac-1. Integrins are known to participate in cell adhesion as well as cell-surface mediated signalling. Defects in this gene are the cause of leukocyte adhesion deficiency type I (LAD1). Two transcript variants encoding the same protein have been identified for this gene. [provided by RefSeq, Jul 2008].
Function:
Integrin alpha-L/beta-2 is a receptor for ICAM1, ICAM2, ICAM3 and ICAM4. Integrins alpha-M/beta-2 and alpha-X/beta-2 are receptors for the iC3b fragment of the third complement component and for fibrinogen. Integrin alpha-X/beta-2 recognizes the sequence G-P-R in fibrinogen alpha-chain. Integrin alpha-M/beta-2 recognizes P1 and P2 peptides of fibrinogen gamma chain. Integrin alpha-M/beta-2 is also a receptor for factor X. Integrin alpha-D/beta-2 is a receptor for ICAM3 and VCAM1. Triggers neutrophil transmigration during lung injury through PTK2B/PYK2-mediated activation.
Subunit:
Heterodimer of an alpha and a beta subunit. Beta-2 associates with either alpha-L, alpha-M, alpha-X or alpha-D. Interacts with FGR (By similarity). Interacts with COPS5 and RANBP9.
Subcellular Location:
Membrane; Single-pass type I membrane protein.
Post-translational modifications:
Both Ser-745 and Ser-756 become phosphorylated when T-cells are exposed to phorbol esters. Phosphorylation on Thr-758 (but not on Ser-756) allows interaction with 14-3-3 proteins.
DISEASE:
Leukocyte adhesion deficiency 1 (LAD1) [MIM:116920]: LAD1 patients have recurrent bacterial infections and their leukocytes are deficient in a wide range of adhesion-dependent functions. Note=The disease is caused by mutations affecting the gene represented in this entry.
Similarity:
Belongs to the integrin beta chain family.
Contains 1 VWFA domain.
SWISS:
P05107
Gene ID:
3689
Database links:Entrez Gene: 3689 Human
Omim: 600065 Human
SwissProt: P05107 Human
Unigene: 375957 Human
Important Note:
This product as supplied is intended for research use only, not for use in human, therapeutic or diagnostic applications.
- 产品图片
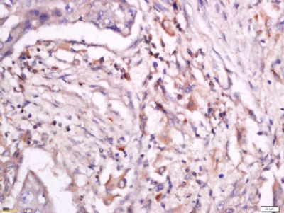
Tissue/cell: human kidney tissue; 4% Paraformaldehyde-fixed and paraffin-embedded;
Antigen retrieval: citrate buffer ( 0.01M, pH 6.0 ), Boiling bathing for 15min; Block endogenous peroxidase by 3% Hydrogen peroxide for 30min; Blocking buffer (normal goat serum,C-0005) at 37℃ for 20 min;
Incubation: Anti-Phospho-CD18 (Thr758) Polyclonal Antibody, Unconjugated(bs-10462R) 1:200, overnight at 4°C, followed by conjugation to the secondary antibody(SP-0023) and DAB(C-0010) staining
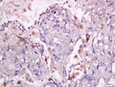
Tissue/cell: human lung carcinoma; 4% Paraformaldehyde-fixed and paraffin-embedded;
Antigen retrieval: citrate buffer ( 0.01M, pH 6.0 ), Boiling bathing for 15min; Block endogenous peroxidase by 3% Hydrogen peroxide for 30min; Blocking buffer (normal goat serum,C-0005) at 37℃ for 20 min;
Incubation: Anti-Phospho-CD18 (Thr758) Polyclonal Antibody, Unconjugated(bs-10462R) 1:200, overnight at 4°C, followed by conjugation to the secondary antibody(SP-0023) and DAB(C-0010) staining
Tissue/cell: human lung carcinoma; 4% Paraformaldehyde-fixed and paraffin-embedded;
Antigen retrieval: citrate buffer ( 0.01M, pH 6.0 ), Boiling bathing for 15min; Block endogenous peroxidase by 3% Hydrogen peroxide for 30min; Blocking buffer (normal goat serum,C-0005) at 37℃ for 20 min;
Incubation: Anti-Phospho-CD18 (Thr758) Polyclonal Antibody, Unconjugated(bs-10462R) 1:200, overnight at 4°C, followed by conjugation to the secondary antibody(SP-0023) and DAB(C-0010) staining
Blank control: Raji cells(blue).
Primary Antibody: Rabbit Anti-Phospho-CD18 (Thr758) antibody(bs-10462R), Dilution: 1μg in 100 μL 1X PBS containing 0.5% BSA;
Isotype Control Antibody: Rabbit IgG (orange) ,used under the same conditions.
Secondary Antibody: Goat anti-rabbit IgG-PE(white blue), Dilution: 1:200 in 1 X PBS containing 0.5% BSA.

