产品中心
当前位置:首页>产品中心Anti-CCDC102B
货号: bs-7986R 基本售价: 1380.0 元 规格: 100ul
- 规格:100ul
- 价格:1380.00元
- 规格:200ul
- 价格:2200.00元
产品信息
- 产品编号
- bs-7986R
- 英文名称
- CCDC102B
- 中文名称
- 卷曲螺旋结构域蛋白102B抗体
- 别 名
- ACY1L; aminoacylase 1-like1; AN; C102B_HUMAN; C18orf14; CCDC102B; chromosome 18 open reading frame 14; coiled-coil domain containing 102B; Coiled-coil domain-containing protein 102B; DKFZp434K1426; DKFZp686I08254; FLJ23594; HsT1731; MGC161726; MGC161728.
- 规格价格
- 100ul/1380元购买 200ul/2200元购买 大包装/询价
- 说 明 书
- 100ul 200ul
- 研究领域
- 细胞生物 免疫学
- 抗体来源
- Rabbit
- 克隆类型
- Polyclonal
- 交叉反应
- Human, Mouse, Rat, Chicken, Dog, Pig, Cow, Horse, Sheep,
- 产品应用
- WB=1:500-2000 ELISA=1:500-1000 IHC-P=1:400-800 IHC-F=1:400-800 IF=1:100-500 (石蜡切片需做抗原修复)
not yet tested in other applications.
optimal dilutions/concentrations should be determined by the end user.
- 分 子 量
- 60kDa
- 细胞定位
- 细胞核 细胞浆
- 性 状
- Lyophilized or Liquid
- 浓 度
- 1mg/ml
- 免 疫 原
- KLH conjugated synthetic peptide derived from human CCDC102B:91-180/513
- 亚 型
- IgG
- 纯化方法
- affinity purified by Protein A
- 储 存 液
- 0.01M TBS(pH7.4) with 1% BSA, 0.03% Proclin300 and 50% Glycerol.
- 保存条件
- Store at -20 °C for one year. Avoid repeated freeze/thaw cycles. The lyophilized antibody is stable at room temperature for at least one month and for greater than a year when kept at -20°C. When reconstituted in sterile pH 7.4 0.01M PBS or diluent of antibody the antibody is stable for at least two weeks at 2-4 °C.
- PubMed
- PubMed
- 产品介绍
- background:
CCDC102B is a 513 amino acid protein that exists as three alternatively spliced isoforms. Widely expressed and found in multiple CNV (copy-number variant) regions, CCDC102B contains the deletion breakpoint of a maternally inherited deletion, which is 2.7 Mb in size, and maps to human chromosome 18q22.1. CCDC102B may play a role in the pathogenesis of diaphragmatic hernia, microphthalmia, colorectal carcinoma and schizophrenia. Encoding over 300 genes, chromosome 18 contains about 76 million bases. Translocation between chromosomes 18 and 14 is the most common translocation in cancers and occurs in follicular lymphomas. Niemann-Pick disease, hereditary hemorrhagic telangiectasia and erythropoietic protoporphyria are associated with chromosome 18
SWISS:
Q68D86
Gene ID:
79839
Database links:Entrez Gene: 79839 Human
SwissProt: Q68D86 Human
Unigene: 280781 Human
Important Note:
This product as supplied is intended for research use only, not for use in human, therapeutic or diagnostic applications.
- 产品图片
Sample: A431 Cell (Human) Lysate at 40 ug
Primary: Anti-CCDC102B (bs-7986R) at 1/300 dilution
Secondary: IRDye800CW Goat Anti-Rabbit IgG at 1/20000 dilution
Predicted band size: 60 kD
Observed band size: 63 kD
Sample: 293T Cell (Human) Lysate at 40 ug
Primary: Anti-CCDC102B (bs-7986R) at 1/300 dilution
Secondary: IRDye800CW Goat Anti-Rabbit IgG at 1/20000 dilution
Predicted band size: 60 kD
Observed band size: 63 kD
Paraformaldehyde-fixed, paraffin embedded (rat brain tissue); Antigen retrieval by boiling in sodium citrate buffer (pH6.0) for 15min; Block endogenous peroxidase by 3% hydrogen peroxide for 20 minutes; Blocking buffer (normal goat serum) at 37°C for 30min; Antibody incubation with (CCDC102B) Polyclonal Antibody, Unconjugated (bs-7986R) at 1:400 overnight at 4°C, followed by operating according to SP Kit(Rabbit) (sp-0023) instructionsand DAB staining.
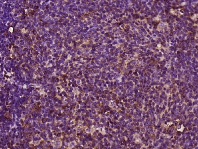
Paraformaldehyde-fixed, paraffin embedded (mouse lymphoid); Antigen retrieval by boiling in sodium citrate buffer (pH6.0) for 15min; Block endogenous peroxidase by 3% hydrogen peroxide for 20 minutes; Blocking buffer (normal goat serum) at 37°C for 30min; Antibody incubation with (CCDC102B) Polyclonal Antibody, Unconjugated (bs-7986R) at 1:400 overnight at 4°C, followed by operating according to SP Kit(Rabbit) (sp-0023) instructionsand DAB staining.

