产品中心
当前位置:首页>产品中心Anti-MRP1/ABCC1
货号: bs-0657R 基本售价: 380.0 元 规格: 20ul
- 规格:20ul
- 价格:380.00元
- 规格:50ul
- 价格:780.00元
- 规格:100ul
- 价格:1380.00元
- 规格:200ul
- 价格:2200.00元
产品信息
- 产品编号
- bs-0657R
- 英文名称
- MRP1/ABCC1
- 中文名称
- 多药耐药相关蛋白1抗体
- 别 名
- Multidrug Resistanec-Associated Protein 1; ABC 29; ABC29; ABCC 1; ABCC; ABCC1; ATP binding cassette sub family C (CFTR/MRP) member 1; ATP binding cassette sub-family C member 1; DKFZp686N04233; DKFZp781G125; GS X; GSX; Leukotriene C(4) transporter; LTC4 transporter; MRP 1; MRP; Multidrug resistance associated protein 1; Multidrug resistance protein; Multiple drug resistance associated protein; Multiple drug resistance protein 1; MRP1_HUMAN.

- Specific References (3) | bs-0657R has been referenced in 3 publications.[IF=3.07] Wen-Qing, Hu, Peng Chun-Wei, and Li Yan. "The expression and significance of P-glycoprotein, lung resistance protein and multidrug resistance-associated protein in gastric cancer." Journal of Experimental & Clinical Cancer Research 28 (2009). Human.PubMed:19930704[IF=1.91] Yan, Yong‐Rong, et al. "Epithelial‐to‐mesenchymal transition is involved in BCNU resistance in human glioma cells." Neuropathology (2014). WB ; Human.PubMed:19930704[IF=6.93] Peng, Lei, et al. "Development of a novel orthotopic non-small cell lung cancer model and therapeutic benefit of 2’-(2-bromohexadecanoyl)-docetaxel conjugate nanoparticles." Nanomedicine: Nanotechnology, Biology and Medicine (2014). IHC-P ; Mouse.PubMed:24709328
- 规格价格
- 50ul/780元购买 100ul/1380元购买 200ul/2200元购买 大包装/询价
- 说 明 书
- 50ul 100ul 200ul
- 研究领域
- 肿瘤 细胞生物 免疫学
- 抗体来源
- Rabbit
- 克隆类型
- Polyclonal
- 交叉反应
- Human, Mouse, Rat, Chicken, Cow,
- 产品应用
- ELISA=1:500-1000 IHC-P=1:400-800 IHC-F=1:400-800 Flow-Cyt=3ug/test IF=1:100-500 (石蜡切片需做抗原修复)
not yet tested in other applications.
optimal dilutions/concentrations should be determined by the end user.
- 分 子 量
- 170kDa
- 细胞定位
- 细胞膜
- 性 状
- Lyophilized or Liquid
- 浓 度
- 1mg/ml
- 免 疫 原
- KLH conjugated synthetic peptide derived from human MRP1:501-600/1531 <Cytoplasmic>
- 亚 型
- IgG
- 纯化方法
- affinity purified by Protein A
- 储 存 液
- 0.01M TBS(pH7.4) with 1% BSA, 0.03% Proclin300 and 50% Glycerol.
- 保存条件
- Store at -20 °C for one year. Avoid repeated freeze/thaw cycles. The lyophilized antibody is stable at room temperature for at least one month and for greater than a year when kept at -20°C. When reconstituted in sterile pH 7.4 0.01M PBS or diluent of antibody the antibody is stable for at least two weeks at 2-4 °C.
- PubMed
- PubMed
- 产品介绍
- background:
The protein encoded by this gene is a member of the superfamily of ATP-binding cassette (ABC) transporters. ABC proteins transport various molecules across extra-and intra-cellular membranes. ABC genes are divided into seven distinct subfamilies (ABC1, MDR/TAP, MRP, ALD, OABP, GCN20, White). This full transporter is a member of the MRP subfamily which is involved in multi-drug resistance. This protein functions as a multispecific organic anion transporter, with oxidized glutatione, cysteinyl leukotrienes, and activated aflatoxin B1 as substrates. This protein also transports glucuronides and sulfate conjugates of steroid hormones and bile salts. Alternatively spliced variants of this gene have been described but their full-length nature is unknown. [provided by RefSeq, Apr 2012]
Function:
Mediates export of organic anions and drugs from the cytoplasm. Mediates ATP-dependent transport of glutathione and glutathione conjugates, leukotriene C4, estradiol-17-beta-o-glucuronide, methotrexate, antiviral drugs and other xenobiotics. Confers resistance to anticancer drugs. Hydrolyzes ATP with low efficiency.
Subcellular Location:
Cell membrane; Multi-pass membrane protein.
Tissue Specificity:
Lung, testis and peripheral blood mononuclear cells.
Similarity:
Belongs to the ABC transporter superfamily. ABCC family. Conjugate transporter (TC 3.A.1.208) subfamily.
Contains 2 ABC transmembrane type-1 domains.
Contains 2 ABC transporter domains.
SWISS:
O35379
Gene ID:
17250
Database links:Entrez Gene: 4363 Human
Entrez Gene: 17250 Mouse
Entrez Gene: 24565 Rat
Omim: 158343 Human
SwissProt: P33527 Human
SwissProt: O35379 Mouse
SwissProt: Q8CG09 Rat
Unigene: 391464 Human
Unigene: 196634 Mouse
Unigene: 10495 Rat
Important Note:
This product as supplied is intended for research use only, not for use in human, therapeutic or diagnostic applications.
多药耐药相关蛋白1(MRP1)是MRP家族中的一个成员之一,基因的染色体位点是16p13.1,它编码分子量是170-190kDa的MRP1蛋白。
MRP1又称ABCC1主要表达在消化系统中的肝脏、结肠和胰腺组织中,常用于多种肿瘤的多药耐药机制的研究。
- 产品图片
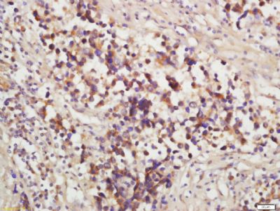
Tissue/cell: human lung carcinoma; 4% Paraformaldehyde-fixed and paraffin-embedded;
Antigen retrieval: citrate buffer ( 0.01M, pH 6.0 ), Boiling bathing for 15min; Block endogenous peroxidase by 3% Hydrogen peroxide for 30min; Blocking buffer (normal goat serum,C-0005) at 37℃ for 20 min;
Incubation: Anti-MRP1 Polyclonal Antibody, Unconjugated(bs-0657R) 1:200, overnight at 4°C, followed by conjugation to the secondary antibody(SP-0023) and DAB(C-0010) staining
Tissue/cell: rat kidney tissue; 4% Paraformaldehyde-fixed and paraffin-embedded;
Antigen retrieval: citrate buffer ( 0.01M, pH 6.0 ), Boiling bathing for 15min; Block endogenous peroxidase by 3% Hydrogen peroxide for 30min; Blocking buffer (normal goat serum,C-0005) at 37℃ for 20 min;
Incubation: Anti-MRP1 Polyclonal Antibody, Unconjugated(bs-0657R) 1:200, overnight at 4°C, followed by conjugation to the secondary antibody(SP-0023) and DAB(C-0010) staining
Tissue/cell: rat brain tissue; 4% Paraformaldehyde-fixed and paraffin-embedded;
Antigen retrieval: citrate buffer ( 0.01M, pH 6.0 ), Boiling bathing for 15min; Block endogenous peroxidase by 3% Hydrogen peroxide for 30min; Blocking buffer (normal goat serum,C-0005) at 37℃ for 20 min;
Incubation: Anti-MRP1 Polyclonal Antibody, Unconjugated(bs-0657R) 1:200, overnight at 4°C, followed by conjugation to the secondary antibody(SP-0023) and DAB(C-0010) staining
Blank control: A549.
Primary Antibody (green line): Rabbit Anti-ABCC1 antibody (bs-0657R)
Dilution: 3μg /10^6 cells;
Isotype Control Antibody (orange line): Rabbit IgG .
Secondary Antibody : Goat anti-rabbit IgG-PE
Dilution: 1μg /test.
Protocol
The cells were incubated in 5%BSA to block non-specific protein-protein interactions for 30 min at at room temperature .Cells stained with Primary Antibody for 30 min at room temperature. The secondary antibody used for 40 min at room temperature. Acquisition of 20,000 events was performed.

