产品中心
当前位置:首页>产品中心Anti-KEAP1
货号: bs-4900R 基本售价: 780.0 元 规格: 50ul
- 规格:50ul
- 价格:780.00元
- 规格:100ul
- 价格:1380.00元
- 规格:200ul
- 价格:2200.00元
产品信息
- 产品编号
- bs-4900R
- 英文名称
- KEAP1
- 中文名称
- 胞质接头蛋白Keap1
- 别 名
- Cytosolic inhibitor of Nrf2; INrf 2; INrf2; Keap 1; KEAP1; KEAP1_HUMAN; Kelch like ECH associated protein 1; Kelch like protein 19; Kelch-like ECH-associated protein 1; Kelch-like protein 19; KIAA0132; KLHL 19; KLHL19; MGC10630; MGC1114; MGC20887; MGC4407; MGC9454.
- 规格价格
- 50ul/780元购买 100ul/1380元购买 200ul/2200元购买 大包装/询价
- 说 明 书
- 50ul 100ul 200ul
- 研究领域
- 肿瘤 细胞生物 发育生物学 信号转导 细胞凋亡 转录调节因子 激酶和磷酸酶
- 抗体来源
- Rabbit
- 克隆类型
- Polyclonal
- 交叉反应
- Human, Mouse, Rat, Dog, Pig, Cow, Rabbit,
- 产品应用
- WB=1:500-2000 ELISA=1:500-1000 IHC-P=1:400-800 IHC-F=1:400-800 ICC=1:100-500 IF=1:100-500 (石蜡切片需做抗原修复)
not yet tested in other applications.
optimal dilutions/concentrations should be determined by the end user.
- 分 子 量
- 69kDa
- 细胞定位
- 细胞核 细胞浆
- 性 状
- Lyophilized or Liquid
- 浓 度
- 1mg/ml
- 免 疫 原
- KLH conjugated synthetic peptide derived from human KEAP1:21-120/624
- 亚 型
- IgG
- 纯化方法
- affinity purified by Protein A
- 储 存 液
- 0.01M TBS(pH7.4) with 1% BSA, 0.03% Proclin300 and 50% Glycerol.
- 保存条件
- Store at -20 °C for one year. Avoid repeated freeze/thaw cycles. The lyophilized antibody is stable at room temperature for at least one month and for greater than a year when kept at -20°C. When reconstituted in sterile pH 7.4 0.01M PBS or diluent of antibody the antibody is stable for at least two weeks at 2-4 °C.
- PubMed
- PubMed
- 产品介绍
- background:
This gene encodes a protein containing KELCH-1 like domains, as well as a BTB/POZ domain. Kelch-like ECH-associated protein 1 interacts with NF-E2-related factor 2 in a redox-sensitive manner and the dissociation of the proteins in the cytoplasm is followed by transportation of NF-E2-related factor 2 to the nucleus. This interaction results in the expression of the catalytic subunit of gamma-glutamylcysteine synthetase. Two alternatively spliced transcript variants encoding the same isoform have been found for this gene. [provided by RefSeq, Jul 2008].
Function:
Retains NFE2L2/NRF2 in the cytosol. Functions as substrate adapter protein for the E3 ubiquitin ligase complex formed by CUL3 and RBX1. Targets NFE2L2/NRF2 for ubiquitination and degradation by the proteasome, thus resulting in the suppression of its transcriptional activity and the repression of antioxidant response element-mediated detoxifying enzyme gene expression. May also retain BPTF in the cytosol. Targets PGAM5 for ubiquitination and degradation by the proteasome.
Subunit:
Homodimer. Forms a ternary complex with NFE2L2 and PGAM5. Interacts with the N-terminal regulatory domain of NFE2L2/NRF2. Interacts with BPTF and PTMA. Interacts with CUL3. Part of a complex that contains KEAP1, CUL3 and RBX1.
Subcellular Location:
Cytoplasm. Nucleus. Note=Shuttles between cytoplasm and nucleus.
Tissue Specificity:
Broadly expressed, with highest levels in skeletal muscle.
Similarity:
Contains 1 BACK (BTB/Kelch associated) domain.
Contains 1 BTB (POZ) domain.
Contains 6 Kelch repeats.
SWISS:
Q14145
Gene ID:
9817
Database links:Entrez Gene: 532791 Cow
Entrez Gene: 476713 Dog
Entrez Gene: 9817 Human
Entrez Gene: 50868 Mouse
Entrez Gene: 100136900 Pig
Entrez Gene: 117519 Rat
Entrez Gene: 321837 Zebrafish
Omim: 606016 Human
SwissProt: Q14145 Human
SwissProt: Q9Z2X8 Mouse
SwissProt: Q684M4 Pig
SwissProt: P57790 Rat
Unigene: 465870 Human
Unigene: 248266 Mouse
Unigene: 23467 Rat
Important Note:
This product as supplied is intended for research use only, not for use in human, therapeutic or diagnostic applications.
- 产品图片
Sample:
A673(Human) Cell Lysate at 30 ug
A431(Human) Cell Lysate at 30 ug
Primary: Anti-KEAP1 (bs-4900R) at 1/500 dilution
Secondary: IRDye800CW Goat Anti-Rabbit IgG at 1/20000 dilution
Predicted band size: 69 kD
Observed band size: 69 kD
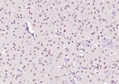
Paraformaldehyde-fixed, paraffin embedded (Mouse brain); Antigen retrieval by boiling in sodium citrate buffer (pH6.0) for 15min; Block endogenous peroxidase by 3% hydrogen peroxide for 20 minutes; Blocking buffer (normal goat serum) at 37°C for 30min; Antibody incubation with (KEAP1) Polyclonal Antibody, Unconjugated (bs-4900R) at 1:400 overnight at 4°C, followed by a conjugated secondary antibody (sp-0023) for 20 minutes and DAB staining.
Paraformaldehyde-fixed, paraffin embedded (Human cervical carcinoma); Antigen retrieval by boiling in sodium citrate buffer (pH6.0) for 15min; Block endogenous peroxidase by 3% hydrogen peroxide for 20 minutes; Blocking buffer (normal goat serum) at 37°C for 30min; Antibody incubation with (KEAP1) Polyclonal Antibody, Unconjugated (bs-4900R) at 1:500 overnight at 4°C, followed by a conjugated secondary (sp-0023) for 20 minutes and DAB staining.
Paraformaldehyde-fixed, paraffin embedded (Human kidney); Antigen retrieval by boiling in sodium citrate buffer (pH6.0) for 15min; Block endogenous peroxidase by 3% hydrogen peroxide for 20 minutes; Blocking buffer (normal goat serum) at 37°C for 30min; Antibody incubation with (KEAP1) Polyclonal Antibody, Unconjugated (bs-4900R) at 1:500 overnight at 4°C, followed by a conjugated secondary (sp-0023) for 20 minutes and DAB staining.
Paraformaldehyde-fixed, paraffin embedded (Human colon carcinoma); Antigen retrieval by boiling in sodium citrate buffer (pH6.0) for 15min; Block endogenous peroxidase by 3% hydrogen peroxide for 20 minutes; Blocking buffer (normal goat serum) at 37°C for 30min; Antibody incubation with (KEAP1) Polyclonal Antibody, Unconjugated (bs-4900R) at 1:500 overnight at 4°C, followed by a conjugated secondary (sp-0023) for 20 minutes and DAB staining.
Paraformaldehyde-fixed, paraffin embedded (Human cervical carcinoma); Antigen retrieval by boiling in sodium citrate buffer (pH6.0) for 15min; Block endogenous peroxidase by 3% hydrogen peroxide for 20 minutes; Blocking buffer (normal goat serum) at 37°C for 30min; Antibody incubation with (KEAP1) Polyclonal Antibody, Unconjugated (bs-4900R) at 1:500 overnight at 4°C, followed by a conjugated secondary (sp-0023) for 20 minutes and DAB staining.
Paraformaldehyde-fixed, paraffin embedded (Mouse brain); Antigen retrieval by boiling in sodium citrate buffer (pH6.0) for 15min; Block endogenous peroxidase by 3% hydrogen peroxide for 20 minutes; Blocking buffer (normal goat serum) at 37°C for 30min; Antibody incubation with (KEAP1) Polyclonal Antibody, Unconjugated (bs-4900R) at 1:500 overnight at 4°C, followed by a conjugated secondary (sp-0023) for 20 minutes and DAB staining.
Paraformaldehyde-fixed, paraffin embedded (Human kidney); Antigen retrieval by boiling in sodium citrate buffer (pH6.0) for 15min; Block endogenous peroxidase by 3% hydrogen peroxide for 20 minutes; Blocking buffer (normal goat serum) at 37°C for 30min; Antibody incubation with (KEAP1) Polyclonal Antibody, Unconjugated (bs-4900R) at 1:400 overnight at 4°C, followed by a conjugated secondary antibody (sp-0023) for 20 minutes and DAB staining.

