产品中心
当前位置:首页>产品中心Anti-SOX9
货号: bs-10725R 基本售价: 780.0 元 规格: 50ul
- 规格:50ul
- 价格:780.00元
- 规格:100ul
- 价格:1380.00元
- 规格:200ul
- 价格:2200.00元
产品信息
- 产品编号
- bs-10725R
- 英文名称
- SOX9
- 中文名称
- 转录因子SOX9蛋白抗体
- 别 名
- CMD 1; CMD1; CMPD 1; CMPD1; SOX 9; Sox9; SOX9_HUMAN; SRA 1; SRA1 antibody SRY (sex determining region Y) box 9 (campomelic dysplasia autosomal; SRY (sex determining region Y) box 9; SRY (sex determining region Y)-box 9; SRY (sex-determining region Y)-box 9 protein; Transcription factor SOX 9; Transcription factor SOX-9; transcription factor SOX9; campomelic dysplasia autosomal sex reversal.
- 规格价格
- 50ul/780元购买 100ul/1380元购买 200ul/2200元购买 大包装/询价
- 说 明 书
- 50ul 100ul 200ul
- 研究领域
- 肿瘤 细胞生物 免疫学 发育生物学 染色质和核信号 神经生物学 转录调节因子 表观遗传学
- 抗体来源
- Rabbit
- 克隆类型
- Polyclonal
- 交叉反应
- Human, Mouse, Rat, Pig, Horse, Rabbit,
- 产品应用
- ELISA=1:500-1000 IHC-P=1:400-800 IHC-F=1:400-800 Flow-Cyt=1ug/test ICC=1:100-500 IF=1:100-500 (石蜡切片需做抗原修复)
not yet tested in other applications.
optimal dilutions/concentrations should be determined by the end user.
- 分 子 量
- 56kDa
- 细胞定位
- 细胞核
- 性 状
- Lyophilized or Liquid
- 浓 度
- 1mg/ml
- 免 疫 原
- KLH conjugated synthetic peptide derived from human SOX9:351-450/509
- 亚 型
- IgG
- 纯化方法
- affinity purified by Protein A
- 储 存 液
- 0.01M TBS(pH7.4) with 1% BSA, 0.03% Proclin300 and 50% Glycerol.
- 保存条件
- Store at -20 °C for one year. Avoid repeated freeze/thaw cycles. The lyophilized antibody is stable at room temperature for at least one month and for greater than a year when kept at -20°C. When reconstituted in sterile pH 7.4 0.01M PBS or diluent of antibody the antibody is stable for at least two weeks at 2-4 °C.
- PubMed
- PubMed
- 产品介绍
- background:
The protein encoded by this gene recognizes the sequence CCTTGAG along with other members of the HMG-box class DNA-binding proteins. It acts during chondrocyte differentiation and, with steroidogenic factor 1, regulates transcription of the anti-Muellerian hormone (AMH) gene. Deficiencies lead to the skeletal malformation syndrome campomelic dysplasia, frequently with sex reversal. [provided by RefSeq].
Function:
Plays an important role in the normal skeletal development. May regulate the expression of other genes involved in chondrogenesis by acting as a transcription factor for these genes.
Subcellular Location:
Nucleus (Potential).
DISEASE:
Defects in SOX9 are the cause of campomelic dysplasia (CMD1) [MIM:114290]. CMD1 is a rare, often lethal, dominantly inherited, congenital osteochondrodysplasia, associated with male-to-female autosomal sex reversal in two-thirds of the affected karyotypic males. A disease of the newborn characterized by congenital bowing and angulation of long bones, unusually small scapulae, deformed pelvis and spine and a missing pair of ribs. Craniofacial defects such as cleft palate, micrognatia, flat face and hypertelorism are common. Various defects of the ear are often evident, affecting the cochlea, malleus incus, stapes and tympanum. Most patients die soon after birth due to respiratory distress which has been attributed to hypoplasia of the tracheobronchial cartilage and small thoracic cage.
Defects in SOX9 are the cause of 46,XX sex reversal type 2 (SRXX2) [MIM:278850]. SRXX2 is a condition in which male gonads develop in a genetic female (female to male sex reversal).
Similarity:
Contains 1 HMG box DNA-binding domain.
SWISS:
P48436
Gene ID:
6662
Database links:Entrez Gene: 6662 Human
Entrez Gene: 20682 Mouse
Entrez Gene: 140586 Rat
Omim: 608160 Human
SwissProt: P48436 Human
SwissProt: Q04887 Mouse
SwissProt: O18896 Pig
Unigene: 647409 Human
Unigene: 286407 Mouse
Important Note:
This product as supplied is intended for research use only, not for use in human, therapeutic or diagnostic applications.
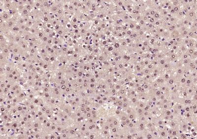
- 产品图片
Paraformaldehyde-fixed, paraffin embedded (Human colon carcinoma); Antigen retrieval by boiling in sodium citrate buffer (pH6.0) for 15min; Block endogenous peroxidase by 3% hydrogen peroxide for 20 minutes; Blocking buffer (normal goat serum) at 37°C for 30min; Antibody incubation with (SOX9) Polyclonal Antibody, Unconjugated (bs-10725R) at 1:500 overnight at 4°C, followed by a conjugated secondary (sp-0023) for 20 minutes and DAB staining.
Tissue/cell: human laryngocarcinoma; 4% Paraformaldehyde-fixed and paraffin-embedded;
Antigen retrieval: citrate buffer ( 0.01M, pH 6.0 ), Boiling bathing for 15min; Block endogenous peroxidase by 3% Hydrogen peroxide for 30min; Blocking buffer (normal goat serum,C-0005) at 37℃ for 20 min;
Incubation: Anti-SOX9 Polyclonal Antibody, Unconjugated(bs-10725R) 1:200, overnight at 4°C, followed by conjugation to the secondary antibody(SP-0023) and DAB(C-0010) staining
Paraformaldehyde-fixed, paraffin embedded (Mouse liver); Antigen retrieval by boiling in sodium citrate buffer (pH6.0) for 15min; Block endogenous peroxidase by 3% hydrogen peroxide for 20 minutes; Blocking buffer (normal goat serum) at 37°C for 30min; Antibody incubation with (SOX9) Polyclonal Antibody, Unconjugated (bs-10725R) at 1:400 overnight at 4°C, followed by operating according to SP Kit(Rabbit) (sp-0023) instructionsand DAB staining.
Paraformaldehyde-fixed, paraffin embedded (Rat liver); Antigen retrieval by boiling in sodium citrate buffer (pH6.0) for 15min; Block endogenous peroxidase by 3% hydrogen peroxide for 20 minutes; Blocking buffer (normal goat serum) at 37°C for 30min; Antibody incubation with (SOX9) Polyclonal Antibody, Unconjugated (bs-10725R) at 1:400 overnight at 4°C, followed by operating according to SP Kit(Rabbit) (sp-0023) instructionsand DAB staining.
Blank control:A431.
Primary Antibody (green line): Rabbit Anti-SOX9 antibody (bs-10725R)
Dilution: 1μg /10^6 cells;
Isotype Control Antibody (orange line): Rabbit IgG .
Secondary Antibody : Goat anti-rabbit IgG-AF647
Dilution: 1μg /test.
Protocol
The cells were fixed with 4% PFA (10min at room temperature)and then permeabilized with 90% ice-cold methanol for 20 min at-20℃. The cells were then incubated in 5%BSA to block non-specific protein-protein interactions for 30 min at at room temperature .Cells stained with Primary Antibody for 30 min at room temperature. The secondary antibody used for 40 min at room temperature. Acquisition of 20,000 events was performed.

