产品中心
当前位置:首页>产品中心Anti-Glutaredoxin 2
货号: bs-13394R 基本售价: 1380.0 元 规格: 100ul
- 规格:100ul
- 价格:1380.00元
- 规格:200ul
- 价格:2200.00元
产品信息
- 产品编号
- bs-13394R
- 英文名称
- Glutaredoxin 2
- 中文名称
- 谷氧还蛋白2抗体
- 别 名
- bA101E13.1 (GRX2 glutaredoxin (thioltransferase) 2); bA101E13.1; CGI133; Glrx2; GLRX2_HUMAN; Glutaredoxin-2; Glutaredoxin-2, mitochondrial; GRX2; mitochondrial.
- 规格价格
- 100ul/1380元购买 200ul/2200元购买 大包装/询价
- 说 明 书
- 100ul 200ul
- 研究领域
- 细胞生物 信号转导 新陈代谢 表观遗传学
- 抗体来源
- Rabbit
- 克隆类型
- Polyclonal
- 交叉反应
- Human, Mouse, Rat, Dog, Cow, Rabbit, Sheep,
- 产品应用
- WB=1:500-2000 ELISA=1:500-1000 IHC-P=1:400-800 IHC-F=1:400-800 Flow-Cyt=1μg/Test ICC=1:100-500 IF=1:100-500 (石蜡切片需做抗原修复)
not yet tested in other applications.
optimal dilutions/concentrations should be determined by the end user.
- 分 子 量
- 16kDa
- 细胞定位
- 细胞核 细胞浆 细胞膜
- 性 状
- Lyophilized or Liquid
- 浓 度
- 1mg/ml
- 免 疫 原
- KLH conjugated synthetic peptide derived from human Glutaredoxin 2:101-164/164
- 亚 型
- IgG
- 纯化方法
- affinity purified by Protein A
- 储 存 液
- 0.01M TBS(pH7.4) with 1% BSA, 0.03% Proclin300 and 50% Glycerol.
- 保存条件
- Store at -20 °C for one year. Avoid repeated freeze/thaw cycles. The lyophilized antibody is stable at room temperature for at least one month and for greater than a year when kept at -20°C. When reconstituted in sterile pH 7.4 0.01M PBS or diluent of antibody the antibody is stable for at least two weeks at 2-4 °C.
- PubMed
- PubMed
- 产品介绍
- background:
Glutathione-dependent oxidoreductase that facilitates the maintenance of mitochondrial redox homeostasis upon induction of apoptosis by oxidative stress. Involved in response to hydrogen peroxide and regulation of apoptosis caused by oxidative stress. Acts as a very efficient catalyst of monothiol reactions because of its high affinity for protein glutathione-mixed disulfides. Can receive electrons not only from glutathione (GSH), but also from thioredoxin reductase supporting both monothiol and dithiol reactions. Efficiently catalyzes both glutathionylation and deglutathionylation of mitochondrial complex I, which in turn regulates the superoxide production by the complex. Overexpression decreases the susceptibility to apoptosis and prevents loss of cardiolipin and cytochrome c release.
Function:
Glutathione-dependent oxidoreductase that facilitates the maintenance of mitochondrial redox homeostasis upon induction of apoptosis by oxidative stress. Involved in response to hydrogen peroxide and regulation of apoptosis caused by oxidative stress. Acts as a very efficient catalyst of monothiol reactions because of its high affinity for protein glutathione-mixed disulfides. Can receive electrons not only from glutathione (GSH), but also from thioredoxin reductase supporting both monothiol and dithiol reactions. Efficiently catalyzes both glutathionylation and deglutathionylation of mitochondrial complex I, which in turn regulates the superoxide production by the complex. Overexpression decreases the susceptibility to apoptosis and prevents loss of cardiolipin and cytochrome c release.
Subunit:
Monomer; active form. Homodimer; inactive form. The homodimer is probably linked by 1 2Fe-2S cluster.
Subcellular Location:
Mitochondrion and Nucleus.
Tissue Specificity:
Widely expressed. Expressed in brain, heart, skeletal muscle, colon, thymus, spleen, kidney, liver, small intestine, placenta and lung. Not expressed in peripheral blood leukocytes.
Similarity:
Belongs to the glutaredoxin family.
Contains 1 glutaredoxin domain.
SWISS:
Q9NS18
Gene ID:
51022
Database links:Entrez Gene: 513762Cow
Entrez Gene: 51022Human
Entrez Gene: 69367Mouse
Entrez Gene: 100172258Orangutan
Entrez Gene: 114022Rat
Omim: 606820Human
SwissProt: Q32L67Cow
SwissProt: Q9NS18Human
SwissProt: Q923X4Mouse
SwissProt: Q5RC53Orangutan
SwissProt: Q6AXW1Rat
Unigene: 458283Human
Unigene: 272727Mouse
Unigene: 17175Rat
Important Note:
This product as supplied is intended for research use only, not for use in human, therapeutic or diagnostic applications.
- 产品图片
Paraformaldehyde-fixed, paraffin embedded (human colon carcinoma); Antigen retrieval by boiling in sodium citrate buffer (pH6.0) for 15min; Block endogenous peroxidase by 3% hydrogen peroxide for 20 minutes; Blocking buffer (normal goat serum) at 37°C for 30min; Antibody incubation with (GLRX2) Polyclonal Antibody, Unconjugated (bs-13394R) at 1:500 overnight at 4°C, followed by a conjugated secondary (sp-0023) for 20 minutes and DAB staining.
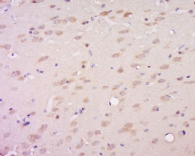
Paraformaldehyde-fixed, paraffin embedded (rat brain); Antigen retrieval by boiling in sodium citrate buffer (pH6.0) for 15min; Block endogenous peroxidase by 3% hydrogen peroxide for 20 minutes; Blocking buffer (normal goat serum) at 37°C for 30min; Antibody incubation with (GLRX2) Polyclonal Antibody, Unconjugated (bs-13394R) at 1:500 overnight at 4°C, followed by a conjugated secondary (sp-0023) for 20 minutes and DAB staining.
Paraformaldehyde-fixed, paraffin embedded (rat brain); Antigen retrieval by boiling in sodium citrate buffer (pH6.0) for 15min; Block endogenous peroxidase by 3% hydrogen peroxide for 20 minutes; Blocking buffer (normal goat serum) at 37°C for 30min; Antibody incubation with (GLRX2) Polyclonal Antibody, Unconjugated (bs-13394R) at 1:500 overnight at 4°C, followed by a conjugated secondary (sp-0023) for 20 minutes and DAB staining.
Tissue/cell: Rat brain tissue; 4% Paraformaldehyde-fixed and paraffin-embedded;
Antigen retrieval: citrate buffer ( 0.01M, pH 6.0 ), Boiling bathing for 15min; Block endogenous peroxidase by 3% Hydrogen peroxide for 30min; Blocking buffer (normal goat serum,C-0005) at 37℃ for 20 min;
Incubation: Anti-GLRX2 Polyclonal Antibody, Unconjugated(bs-13394R) 1:500, overnight at 4°C, followed by conjugation to the secondary antibody(SP-0023) and DAB(C-0010) staining
Blank control (blue line): RSC96(fixed with pre-warmed 4% paraformaldehyde for 30min at 37℃ and then permeabilized with 90% ice-cold methanol for 30 min on ice)
Primary Antibody (green line): Rabbit Anti-Glutaredoxin 2 antibody (bs-13394R),Dilution: 0.2μg /10^6 cells;
Isotype Control Antibody (orange line): Rabbit IgG .
Secondary Antibody (white blue line): Goat anti-rabbit IgG-PE,Dilution: 1μg /test.

