产品中心
当前位置:首页>产品中心Anti-Vimentin
货号: bs-8533R 基本售价: 1380.0 元 规格: 100ul
- 规格:100ul
- 价格:1380.00元
- 规格:200ul
- 价格:2200.00元
产品信息
- 产品编号
- bs-8533R
- 英文名称
- Vimentin
- 中文名称
- 波形蛋白抗体
- 别 名
- VIM; FLJ36605; OTTHUMP00000019224; VIM; VIME_HUMAN; Vimentin.

- Specific References (4) | bs-8533R has been referenced in 4 publications.[IF=2.52] Yang, Ning, et al. "Overexpression of SOX2 promotes migration, invasion, and epithelial-mesenchymal transition through the Wnt/β-catenin pathway in laryngeal cancer Hep-2 cells." Tumor Biology (2014): 1-9. WB ; Human.PubMed:24833089[IF=4.14] He, D., et al. "Enhanced M1/M2 Macrophage Ratio Promotes Orthodontic Root Resorption." Journal of Dental Research (2014): 0022034514553817. Rat.PubMed:25344334[IF=4.42] Gao, Lili, et al. "Glycyrrhizic acid alleviates bleomycin-induced pulmonary fibrosis in rats." Frontiers in pharmacology 6 (2015). WB ; Rat.PubMed:26483688[IF=1.56] Huang, Chao, et al. "Analysis of different components in the peritumoral tissue microenvironment of colorectal cancer: A potential prospect in tumorigenesis. Corrigendum in/10.3892/mmr. 2016.5882." Molecular Medicine Reports 14.3 (2016): 2555-2565. IHC-P ; Human.PubMed:27484148
- 规格价格
- 100ul/1380元购买 200ul/2200元购买 大包装/询价
- 说 明 书
- 100ul 200ul
- 研究领域
- 肿瘤 细胞生物 免疫学 信号转导 干细胞 细胞骨架 肿瘤细胞生物标志物
- 抗体来源
- Rabbit
- 克隆类型
- Polyclonal
- 交叉反应
- Human, Mouse, Rat, Dog, Pig, Cow, Horse, Rabbit,
- 产品应用
- WB=1:500-2000 ELISA=1:500-1000 IHC-P=1:400-800 IHC-F=1:400-800 Flow-Cyt=1μg/Test ICC=1:100-500 IF=1:100-500 (石蜡切片需做抗原修复)
not yet tested in other applications.
optimal dilutions/concentrations should be determined by the end user.
- 分 子 量
- 51kDa
- 细胞定位
- 细胞浆
- 性 状
- Lyophilized or Liquid
- 浓 度
- 1mg/ml
- 免 疫 原
- KLH conjugated synthetic peptide derived from human Vimentin:371-466/466
- 亚 型
- IgG
- 纯化方法
- affinity purified by Protein A
- 储 存 液
- 0.01M TBS(pH7.4) with 1% BSA, 0.03% Proclin300 and 50% Glycerol.
- 保存条件
- Store at -20 °C for one year. Avoid repeated freeze/thaw cycles. The lyophilized antibody is stable at room temperature for at least one month and for greater than a year when kept at -20°C. When reconstituted in sterile pH 7.4 0.01M PBS or diluent of antibody the antibody is stable for at least two weeks at 2-4 °C.
- PubMed
- PubMed
- 产品介绍
- background:
This gene encodes a member of the intermediate filament family. Intermediate filamentents, along with microtubules and actin microfilaments, make up the cytoskeleton. The protein encoded by this gene is responsible for maintaining cell shape, integrity of the cytoplasm, and stabilizing cytoskeletal interactions. It is also involved in the immune response, and controls the transport of low-density lipoprotein (LDL)-derived cholesterol from a lysosome to the site of esterification. It functions as an organizer of a number of critical proteins involved in attachment, migration, and cell signaling. Mutations in this gene causes a dominant, pulverulent cataract.[provided by RefSeq, Jun 2009]
Function:
Vimentins are class-III intermediate filaments found in various non-epithelial cells, especially mesenchymal cells. Vimentin is attached to the nucleus, endoplasmic reticulum, and mitochondria, either laterally or terminally.Involved with LARP6 in the stabilization of type I collagen mRNAs for CO1A1 and CO1A2.Subunit : Homopolymer assembled from elementary dimers. Interacts with HCV core protein. Interacts with LGSN and SYNM. Interacts (via rod region) with PLEC (via CH 1 domain) (By similarity). Interacts with SLC6A4. Interacts with STK33. Interacts with LARP6. Interacts with RAB8B (By similarity).
Subcellular Location:
Cytoplasm.
Tissue Specificity:
Highly expressed in fibroblasts, some expression in T- and B-lymphocytes, and little or no expression in Burkitts lymphoma cell lines. Expressed in many hormone-independent mammary carcinoma cell lines.
Post-translational modifications:
Filament disassembly during mitosis is promoted by phosphorylation at Ser-55 as well as by nestin. One of the most prominent phosphoproteins in various cells of mesenchymal origin. Phosphorylation is enhanced during cell division, at which time vimentin filaments are significantly reorganized. Phosphorylation by PKN1 inhibits the formation of filaments. Phosphorylated at Ser-56 by CDK5 during neutrophil secretion in the cytoplasm. Phosphorylated by STK33.
Similarity:
Belongs to the intermediate filament family.
SWISS:
P08670
Gene ID:
7431
Database links:Entrez Gene: 7431Human
Entrez Gene: 22352Mouse
Entrez Gene: 81818Rat
Omim: 193060Human
SwissProt: P08670Human
SwissProt: P20152Mouse
SwissProt: P31000Rat
Unigene: 455493Human
Important Note:
This product as supplied is intended for research use only, not for use in human, therapeutic or diagnostic applications.
- 产品图片
Sample: lymph node (Mouse) Lysate at 40 ug
Primary: Anti-Vimentin(bs-8533R) at 1/300 dilution
Secondary: IRDye800CW Goat Anti-Rabbit IgG at 1/20000 dilution
Predicted band size: 51 kD
Observed band size: 51 kD
Sample:
A549(Human) Cell Lysate at 30 ug
Jurkat(Human) Cell Lysate at 30 ug
Primary: Anti-Vimentin (bs-8533R) at 1/1000 dilution
Secondary: IRDye800CW Goat Anti-Rabbit IgG at 1/20000 dilution
Predicted band size: 51 kD
Observed band size: 53 kD
Sample: skin(Mouse) Lysate at 40 ug
Primary: Anti-Vimentin(bs-8533R) at 1/300 dilution
Secondary: IRDye800CW Goat Anti-Rabbit IgG at 1/20000 dilution
Predicted band size: 51 kD
Observed band size: 51 kD
Protein: lung(rabbit) lysate at 40ug;
Primary: rabbit Anti-Vimentin (bs-8533R) at 1:300;
Secondary: HRP conjugated Goat-Anti-rabbit IgG(bs-0295G-HRP) at 1: 5000;
Predicted band size: 51 kD
Observed band size: 51 kD
Protein: spleen(mouse) lysate at 40ug;
Primary: rabbit Anti-Vimentin (bs-8533R) at 1:300;
Secondary: HRP conjugated Goat-Anti-rabbit IgG(bs-0295G-HRP) at 1: 5000;
Predicted band size: 51 kD
Observed band size: 51 kD
Sample: Lung (Mouse) Lysate at 40 ug
Primary: Anti-Vimentin (bs-8533R) at 1/300 dilution
Secondary: IRDye800CW Goat Anti-Rabbit IgG at 1/20000 dilution
Predicted band size: 51kD
Observed band size: 51kD
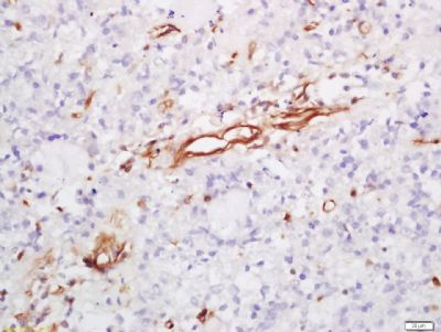
Tissue/cell: human lung carcinoma; 4% Paraformaldehyde-fixed and paraffin-embedded;
Antigen retrieval: citrate buffer ( 0.01M, pH 6.0 ), Boiling bathing for 15min; Block endogenous peroxidase by 3% Hydrogen peroxide for 30min; Blocking buffer (normal goat serum,C-0005) at 37∩ for 20 min;
Incubation: Anti-Vimentin Polyclonal Antibody, Unconjugated(bs-8533R) 1:200, overnight at 4∑C, followed by conjugation to the secondary antibody(SP-0023) and DAB(C-0010) staining
Tissue/cell: human breast carcinoma; 4% Paraformaldehyde-fixed and paraffin-embedded;
Antigen retrieval: citrate buffer ( 0.01M, pH 6.0 ), Boiling bathing for 15min; Block endogenous peroxidase by 3% Hydrogen peroxide for 30min; Blocking buffer (normal goat serum,C-0005) at 37∩ for 20 min;
Incubation: Anti-Vimentin Polyclonal Antibody, Unconjugated(bs-8533R) 1:200, overnight at 4∑C, followed by conjugation to the secondary antibody(SP-0023) and DAB(C-0010) staining
Tissue/cell: endothelial cells of umbilical artery;4% Paraformaldehyde-fixed;
Blocking buffer (normal goat serum,C-0005) at 37℃ for 20 min;
Incubation: Anti-Vimentin Polyclonal Antibody, Alexa Fluor 488 conjugated(bs-8533R-A488) 1:100, 60 minutes at 37℃. DAPI(5ug/ml,blue,C-0033) was used to stain the cell nuclei
Tissue/cell: FHC cell; 4% Paraformaldehyde-fixed; Triton X-100 at room temperature for 20 min; Blocking buffer (normal goat serum, C-0005) at 37°C for 20 min; Antibody incubation with (Vimentin) Polyclonal Antibody, Unconjugated (bs-8533R) 1:200, 2 hours at 37°C; followed by a conjugated Goat Anti-Rabbit IgG antibody (bs-0295G-FITC) at 37°C for 90 minutes, DAPI (5ug/ml, blue, C-0033) was used to stain the cell nuclei.
Tissue/cell: 293T cell; 4% Paraformaldehyde-fixed; Triton X-100 at room temperature for 20 min; Blocking buffer (normal goat serum, C-0005) at 37°C for 20 min; Antibody incubation with (Vimentin) Polyclonal Antibody, Unconjugated (bs-8533R) 1:200, 2 hours at 37°C; followed by a conjugated Goat Anti-Rabbit IgG antibody (bs-0295G-FITC) at 37°C for 90 minutes, DAPI (5ug/ml, blue, C-0033) was used to stain the cell nuclei.
Blank control (blue line): U251(blue).
Primary Antibody (green line): Rabbit Anti-Vimentin antibody (bs-8533R)
Dilution: 2μg /10^6 cells;
Isotype Control Antibody (orange line): Rabbit IgG .
Secondary Antibody (white blue line): Goat anti-rabbit IgG-PE
Dilution: 1μg /test.
Protocol
The cells were fixed with 4% paraformaldehyde (10 min) and then permeabilized with 0.1% PBS-Tween for 20 min at room temperature Cells stained with Primary Antibody for 30 min at room temperature. The cells were then incubated in 1 X PBS/2%BSA/10% goat serum to block non-specific protein-protein interactions followed by the antibody for 15 min at room temperature. The secondary antibody used for 40 min at room temperature. Acquisition of 20,000 events was performed.

