产品中心
当前位置:首页>产品中心Anti-ZNF307/ZKSCAN3
货号: bs-1940R 基本售价: 780.0 元 规格: 50ul
- 规格:50ul
- 价格:780.00元
- 规格:100ul
- 价格:1380.00元
- 规格:200ul
- 价格:2200.00元
产品信息
- 产品编号
- bs-1940R
- 英文名称
- ZNF307/ZKSCAN3
- 中文名称
- 锌指蛋白307抗体
- 别 名
- zinc finger with KRAB and SCAN domains 4; Zinc finger protein 307; P373c6.1; ZKSCAN4; FLJ32136; P1P373C6; p373c6.1 (novel C2H2 type zinc finger protein); p373c6.1; Zinc finger protein 307; Zinc finger with KRAB and SCAN domains 4; ZKSCAN4; ZKSC4_HUMAN;dJ874C20.1; mszf35; SCAN-KRAB-zinc finger protein; Skz1; Zf47; Zfp-47; ZFP306; Zfp307; Zfp47; Zinc finger and SCAN domain containing protein 13; Zinc finger and SCAN domain-containing protein 13; Zinc finger protein 306; Zinc finger protein 306, isoform CRA_a; Zinc finger protein 307; Zinc finger protein 309; Zinc finger protein 47 homolog; Zinc finger protein with KRAB and SCAN domains 3; Zinc finger protein with KRAB and SCAN domains 3; Zinc finger protein zfp47; Zinc finger with KRAB and SCAN domains 3; ZKSC3_HUMAN; ZKSCAN3; ZNF309; ZSCAN13; ZSCAN35.
- 规格价格
- 50ul/780元购买 100ul/1380元购买 200ul/2200元购买 大包装/询价
- 说 明 书
- 50ul 100ul 200ul
- 研究领域
- 细胞生物 免疫学 染色质和核信号 转录调节因子 锌指蛋白
- 抗体来源
- Rabbit
- 克隆类型
- Polyclonal
- 交叉反应
- Human, Mouse, Rat, Dog, Cow, Horse, Rabbit,
- 产品应用
- WB=1:500-2000 ELISA=1:500-1000 IHC-P=1:400-800 IHC-F=1:400-800 IF=1:100-500 (石蜡切片需做抗原修复)
not yet tested in other applications.
optimal dilutions/concentrations should be determined by the end user.
- 分 子 量
- 62kDa
- 细胞定位
- 细胞核
- 性 状
- Lyophilized or Liquid
- 浓 度
- 1mg/ml
- 免 疫 原
- KLH conjugated synthetic peptide derived from human ZNF307:351-450/545
- 亚 型
- IgG
- 纯化方法
- affinity purified by Protein A
- 储 存 液
- 0.01M TBS(pH7.4) with 1% BSA, 0.03% Proclin300 and 50% Glycerol.
- 保存条件
- Store at -20 °C for one year. Avoid repeated freeze/thaw cycles. The lyophilized antibody is stable at room temperature for at least one month and for greater than a year when kept at -20°C. When reconstituted in sterile pH 7.4 0.01M PBS or diluent of antibody the antibody is stable for at least two weeks at 2-4 °C.
- PubMed
- PubMed
- 产品介绍
- background:
ZNF307 contains 1 SCAN box domain, 1 KRAB domain and 7 C2H2-type zinc fingers. It belongs to the Krueppel C2H2-type zinc-finger protein family and may be involved in transcriptional regulation. [SUBCELLULAR LOCATION] Nucleus. Expressed in adult heart, brain, placenta, lung and kidney, but not in adult liver and skeletal muscle. In 17-day old embryo, detected in liver, skeletal muscle, brain, heart and small intestine.
Function:
May be involved in the transcriptional activation of MDM2 and EP300 genes.
Subcellular Location:
Nucleus.
Tissue Specificity:
Expressed in adult heart, brain, placenta, lung and kidney, but not in adult liver and skeletal muscle. In 17-day old embryo, detected in liver, skeletal muscle, brain, heart and small intestine.
Similarity:
Belongs to the krueppel C2H2-type zinc-finger protein family.
Contains 7 C2H2-type zinc fingers.
Contains 1 KRAB domain.
Contains 1 SCAN box domain.
SWISS:
Q969J2
Gene ID:
387032
Database links:Entrez Gene: 387032 Human
Omim: 611643 Human
SwissProt: Q969J2 Human
Unigene: 44720 Human
Important Note:
This product as supplied is intended for research use only, not for use in human, therapeutic or diagnostic applications.
- 产品图片
Sample:
K562(Human) Cell Lysate at 40 ug
Primary: Anti-ZNF307/ZKSCAN3 (bs-1940R) at 1/300 dilution
Secondary: IRDye800CW Goat Anti-Rabbit IgG at 1/20000 dilution
Predicted band size: 62 kD
Observed band size: 62 kD
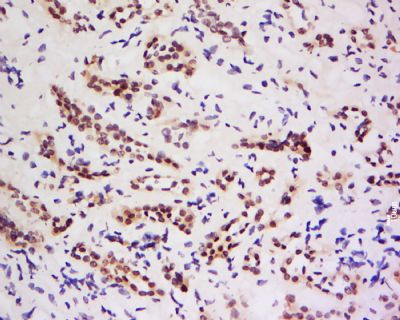
Tissue/cell: human kidney tissue; 4% Paraformaldehyde-fixed and paraffin-embedded;
Antigen retrieval: citrate buffer ( 0.01M, pH 6.0 ), Boiling bathing for 15min; Block endogenous peroxidase by 3% Hydrogen peroxide for 30min; Blocking buffer (normal goat serum,C-0005) at 37℃ for 20 min;
Incubation: Anti-ZNF307 Polyclonal Antibody, Unconjugated(bs-1940R) 1:200, overnight at 4°C, followed by conjugation to the secondary antibody(SP-0023) and DAB(C-0010) staining
Tissue/cell: mouse kidney tissue; 4% Paraformaldehyde-fixed and paraffin-embedded;
Antigen retrieval: citrate buffer ( 0.01M, pH 6.0 ), Boiling bathing for 15min; Block endogenous peroxidase by 3% Hydrogen peroxide for 30min; Blocking buffer (normal goat serum,C-0005) at 37℃ for 20 min;
Incubation: Anti-ZNF307 Polyclonal Antibody, Unconjugated(bs-1940R) 1:200, overnight at 4°C, followed by conjugation to the secondary antibody(SP-0023) and DAB(C-0010) staining
Tissue/cell: mouse kidney tissue; 4% Paraformaldehyde-fixed and paraffin-embedded;
Antigen retrieval: citrate buffer ( 0.01M, pH 6.0 ), Boiling bathing for 15min; Block endogenous peroxidase by 3% Hydrogen peroxide for 30min; Blocking buffer (normal goat serum,C-0005) at 37℃ for 20 min;
Incubation: Anti-ZNF307 Polyclonal Antibody, Unconjugated(bs-1940R) 1:200, overnight at 4°C, followed by conjugation to the secondary antibody(SP-0023) and DAB(C-0010) staining
Tissue/cell: mouse fetal liver; 4% Paraformaldehyde-fixed and paraffin-embedded;
Antigen retrieval: citrate buffer ( 0.01M, pH 6.0 ), Boiling bathing for 15min; Block endogenous peroxidase by 3% Hydrogen peroxide for 30min; Blocking buffer (normal goat serum,C-0005) at 37℃ for 20 min;
Incubation: Anti-ZNF307 Polyclonal Antibody, Unconjugated(bs-1940R) 1:200, overnight at 4°C, followed by conjugation to the secondary antibody(SP-0023) and DAB(C-0010) staining

