产品中心
当前位置:首页>产品中心Anti-alpha Actinin 4-Loading Control
货号: bs-1741R 基本售价: 780.0 元 规格: 50ul
- 规格:50ul
- 价格:780.00元
- 规格:100ul
- 价格:1380.00元
- 规格:200ul
- 价格:2200.00元
产品信息
- 产品编号
- bs-1741R
- 英文名称
- alpha Actinin 4-Loading Control
- 中文名称
- α-辅肌动蛋白4(内参)抗体
- 别 名
- actinin 4; Actinin alpha 4; Actinin alpha-4; Alpha-actinin-4; actinin4; ACTN 4; ACTN4; ACTN4_HUMAN; DKFZp686K23158; F actin cross linking protein; F-actin cross-linking protein; Focal segmental glomerulosclerosis 1; FSGS 1; FSGS; FSGS1; Non muscle alpha actinin 4; Non-muscle alpha-actinin 4.
- 规格价格
- 50ul/780元购买 100ul/1380元购买 200ul/2200元购买 大包装/询价
- 说 明 书
- 50ul 100ul 200ul
- 产品类型
- 内参抗体
- 研究领域
- 免疫学 发育生物学 信号转导 干细胞 结合蛋白 细胞骨架
- 抗体来源
- Rabbit
- 克隆类型
- Polyclonal
- 交叉反应
- Human, Mouse, Rat, Chicken, Pig, Cow, Rabbit,
- 产品应用
- WB=1:500-2000 ELISA=1:500-1000 IHC-P=1:400-800 IHC-F=1:400-800 IF=1:100-500 (石蜡切片需做抗原修复)
not yet tested in other applications.
optimal dilutions/concentrations should be determined by the end user.
- 分 子 量
- 105kDa
- 细胞定位
- 细胞核 细胞浆
- 性 状
- Lyophilized or Liquid
- 浓 度
- 1mg/ml
- 免 疫 原
- KLH conjugated synthetic peptide derived from human Actinin alpha 4:811-911/911
- 亚 型
- IgG
- 纯化方法
- affinity purified by Protein A
- 储 存 液
- 0.01M TBS(pH7.4) with 1% BSA, 0.03% Proclin300 and 50% Glycerol.
- 保存条件
- Store at -20 °C for one year. Avoid repeated freeze/thaw cycles. The lyophilized antibody is stable at room temperature for at least one month and for greater than a year when kept at -20°C. When reconstituted in sterile pH 7.4 0.01M PBS or diluent of antibody the antibody is stable for at least two weeks at 2-4 °C.
- PubMed
- PubMed
- 产品介绍
- background:
Loading Control
Alpha actinins belong to the spectrin gene superfamily which represents a diverse group of cytoskeletal proteins, including the alpha and beta spectrins and dystrophins. Alpha actinin is an actin-binding protein with multiple roles in different cell types. In nonmuscle cells, the cytoskeletal isoform is found along microfilament bundles and adherens-type junctions, where it is involved in binding actin to the membrane. In contrast, skeletal, cardiac, and smooth muscle isoforms are localized to the Z-disc and analogous dense bodies, where they help anchor the myofibrillar actin filaments. This gene encodes a nonmuscle, alpha actinin isoform which is concentrated in the cytoplasm, and thought to be involved in metastatic processes. Mutations in this gene have been associated with focal and segmental glomerulosclerosis. [provided by RefSeq, Jul 2008].
Function:
F-actin cross-linking protein which is thought to anchor actin to a variety of intracellular structures. This is a bundling protein. Probably involved in vesicular trafficking via its association with the CART complex. The CART complex is necessary for efficient transferrin receptor recycling but not for EGFR degradation.
Subunit:
Homodimer; antiparallel. Binds TRIM3 at the N-terminus. Identified in a complex with CASK, IQGAP1, MAGI2, NPHS1, SPTAN1 and SPTBN1. Identified in a mRNP granule complex, at least composed of ACTB, ACTN4, DHX9, ERG, HNRNPA1, HNRNPA2B1, HNRNPAB, HNRNPD, HNRNPL, HNRNPR, HNRNPU, HSPA1, HSPA8, IGF2BP1, ILF2, ILF3, NCBP1, NCL, PABPC1, PABPC4, PABPN1, RPLP0, RPS3, RPS3A, RPS4X, RPS8, RPS9, SYNCRIP, TROVE2, YBX1 and untranslated mRNAs. Component of the CART complex, at least composed of ACTN4, HGS/HRS, MYO5B and TRIM3. Interacts with BAIAP1 and PDLIM2.
Subcellular Location:
Nucleus. Cytoplasm. Note=Localized in cytoplasmic mRNP granules containing untranslated mRNAs. Colocalizes with actin stress fibers. Nuclear translocation can be induced by the PI3 kinase inhibitor wortmannin or by cytochalasin D. Exclusively localized in the nucleus in a limited number of cell lines (breast cancer cell line MCF-7, oral floor cancer IMC-2, and bladder cancer KU-7).
Tissue Specificity:
Widely expressed.
DISEASE:
Defects in ACTN4 are the cause of focal segmental glomerulosclerosis type 1 (FSGS1) [MIM:603278]. A renal pathology defined by the presence of segmental sclerosis in glomeruli and resulting in proteinuria, reduced glomerular filtration rate and edema. Renal insufficiency often progresses to end-stage renal disease, a highly morbid state requiring either dialysis therapy or kidney transplantation.
Similarity:
Belongs to the alpha-actinin family.
Contains 1 actin-binding domain.
Contains 2 CH (calponin-homology) domains.
Contains 2 EF-hand domains.
Contains 4 spectrin repeats.
SWISS:
O43707
Gene ID:
81
Database links:Entrez Gene: 81 Human
Entrez Gene: 60595 Mouse
Entrez Gene: 63836 Rat
Omim: 604638 Human
SwissProt: O43707 Human
SwissProt: P57780 Mouse
SwissProt: Q9QXQ0 Rat
Unigene: 270291 Human
Unigene: 81144 Mouse
Unigene: 15777 Rat
Important Note:
This product as supplied is intended for research use only, not for use in human, therapeutic or diagnostic applications.
α-Actinin-4;
- 产品图片
Sample:
Kidney (Rat) Lysate at 40 ug
Small intestine (Mouse) Lysate at 40 ug
Primary: Anti-alpha Actinin 4-Loading Control (bs-1741R) at 1/1000 dilution
Secondary: IRDye800CW Goat Anti-Rabbit IgG at 1/20000 dilution
Predicted band size: 105 kD
Observed band size: 105 kD
Sample:
Lane1: Kidney(Rat) Lysate at 30 ug
Lane2: Brain(Rat)Lysate at 30 ug
Primary: Anti-alpha-Actinin-4 (bs-1741R) at 1:200 dilution
Secondary: HRP conjugated Goat-Anti-Rabbit IgG(bse-0295G) at 1: 3000 dilution
Predicted band size : 105kD
Observed band size : 105kD
Paraformaldehyde-fixed, paraffin embedded (Mouse brain); Antigen retrieval by boiling in sodium citrate buffer (pH6.0) for 15min; Block endogenous peroxidase by 3% hydrogen peroxide for 20 minutes; Blocking buffer (normal goat serum) at 37°C for 30min; Antibody incubation with (alpha Actinin 4-Loading Control) Polyclonal Antibody, Unconjugated (bs-1741R) at 1:400 overnight at 4°C, followed by operating according to SP Kit(Rabbit) (sp-0023) instructionsand DAB staining.
Paraformaldehyde-fixed, paraffin embedded (Human breast carcinoma); Antigen retrieval by boiling in sodium citrate buffer (pH6.0) for 15min; Block endogenous peroxidase by 3% hydrogen peroxide for 20 minutes; Blocking buffer (normal goat serum) at 37°C for 30min; Antibody incubation with (alpha Actinin 4-Loading Control) Polyclonal Antibody, Unconjugated (bs-1741R) at 1:400 overnight at 4°C, followed by operating according to SP Kit(Rabbit) (sp-0023) instructionsand DAB staining.
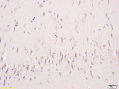
Tissue/cell: rat brain tissue; 4% Paraformaldehyde-fixed and paraffin-embedded;
Antigen retrieval: citrate buffer ( 0.01M, pH 6.0 ), Boiling bathing for 15min; Block endogenous peroxidase by 3% Hydrogen peroxide for 30min; Blocking buffer (normal goat serum,C-0005) at 37℃ for 20 min;
Incubation: Anti-alpha-Actinin-4 Polyclonal Antibody, Unconjugated(bs-1741R) 1:200, overnight at 4°C, followed by conjugation to the secondary antibody(SP-0023) and DAB(C-0010) staining

