产品中心
当前位置:首页>产品中心Anti-ODC
货号: bs-1294R 基本售价: 1380.0 元 规格: 100ul
- 规格:100ul
- 价格:1380.00元
- 规格:200ul
- 价格:2200.00元
产品信息
- 产品编号
- bs-1294R
- 英文名称
- ODC
- 中文名称
- 鸟氨酸脱羧酶抗体
- 别 名
- Ornithine decarboxylase 1; Ornithine decarboxylase; Dodc1; Odc 1; ODC; Odc1; ODC2; Ornithine decarboxylase 2; DCOR_HUMAN; Ornithine decarboxylase 1; Ornithine decarboxylase; Ornithine decarboxylase structural 1; RNODC.

- Specific References (2) | bs-1294R has been referenced in 2 publications.[IF=1.58] Rossi, Giacomo, et al. "Immunohistochemical Expression of Ornithine Decarboxylase, Diamine Oxidase, Putrescine, and Spermine in Normal Canine Enterocolic Mucosa, in Chronic Colitis, and in Colorectal Cancer." BioMed Research International 2015 (2015). IHC-P ; Dog.[IF=2.83] Chen, Shaokui, et al. "Asparagine improves intestinal integrity, inhibits TLR4 and NOD signaling, and differently regulates p38 and ERK1/2 signaling in weanling piglets after LPS challenge." Innate Immunity (2016): 1753425916664124. WB ; Pig.PubMed:27554055
- 规格价格
- 100ul/1380元购买 200ul/2200元购买 大包装/询价
- 说 明 书
- 100ul 200ul
- 研究领域
- 肿瘤 信号转导 新陈代谢
- 抗体来源
- Rabbit
- 克隆类型
- Polyclonal
- 交叉反应
- Human, Mouse, Rat, Dog, Pig, Cow, Horse,
- 产品应用
- WB=1:500-2000 ELISA=1:500-1000 IHC-P=1:400-800 IHC-F=1:400-800 IF=1:100-500 (石蜡切片需做抗原修复)
not yet tested in other applications.
optimal dilutions/concentrations should be determined by the end user.
- 分 子 量
- 51kDa
- 细胞定位
- 细胞浆
- 性 状
- Lyophilized or Liquid
- 浓 度
- 1mg/ml
- 免 疫 原
- KLH conjugated synthetic peptide derived from human ODC:321-461/461
- 亚 型
- IgG
- 纯化方法
- affinity purified by Protein A
- 储 存 液
- 0.01M TBS(pH7.4) with 1% BSA, 0.03% Proclin300 and 50% Glycerol.
- 保存条件
- Store at -20 °C for one year. Avoid repeated freeze/thaw cycles. The lyophilized antibody is stable at room temperature for at least one month and for greater than a year when kept at -20°C. When reconstituted in sterile pH 7.4 0.01M PBS or diluent of antibody the antibody is stable for at least two weeks at 2-4 °C.
- PubMed
- PubMed
- 产品介绍
- background:
Ornithine Decarboxylase (ODC) is the initial and rate limiting enzyme in the biosynthetic pathway of polyamines and is involved in the conversion of ornithine to putrescine. The biological activity of ODC is rapidly induced in response to virtually all agents known to promote cell proliferation including hormones, drugs, growth factors, mitogens, and tumor promoters. Reportedly, ODC mRNA levels are elevated in lung carcinomas as well as in colon adenomas and carcinomas. ODC activity in colorectal carcinomas is greater than those in adenomas and normal mucosa.
Subunit:
Homodimer.
Post-translational modifications:
S-Nitrosylation inhibits the enzyme. S-Nitrosylated in vitro on 4 cysteine residues.
Similarity:
Belongs to the Orn/Lys/Arg decarboxylase class-II family.
SWISS:
Q9BQT8
Gene ID:
4953
Database links:Entrez Gene: 281365 Cow
Entrez Gene: 4953 Human
Entrez Gene: 18263 Mouse
Entrez Gene: 414408 Pig
Entrez Gene: 24609 Rat
Omim: 165640 Human
SwissProt: P27117 Cow
SwissProt: P11926 Human
SwissProt: P00860 Mouse
SwissProt: P09057 Rat
Unigene: 7133 Cow
Unigene: 467701 Human
Unigene: 34102 Mouse
Unigene: 874 Rat
Important Note:
This product as supplied is intended for research use only, not for use in human, therapeutic or diagnostic applications.
鸟氨酸脱羧酶为多胺生物合成途径中的第一个限速酶 (催化合成多胺的第一步反应 ,即催化L -鸟氨酸脱羧生成腐胺 ) ,具有超常转变率和对于刺激的迅速反应性。
多胺广泛存在于生物体的各种细胞和组织中 ,是一种重要的代谢调控物质 ,它可直接与DNA相互作用 ,调节DNA构象 ,并参与RNA及蛋白质的合成 ,与细胞增殖、分化密切相关。经研究表明 ,哺乳动物细胞增殖体现出完全的多胺依赖性。ODC主要存在于胞浆中。
- 产品图片
Sample: Kidney(Mouse) lysate at 30ug;
Primary: Anti-ODC(bs-1294R) at 1:300 dilution;
Secondary: HRP conjugated Goat-Anti-rabbit IgG(bs-0295G-HRP) at 1: 5000 dilution;
Predicted band size:51 kD
Observed band size:51 kD
Sample:Liver(Mouse) lysate at 30ug;
Primary: Anti-ODC(bs-1294R) at 1:300 dilution;
Secondary: AP conjugated Goat Anti-Rabbit IgG(bs-0295G-AP) at 1: 5000 dilution;
Predicted band size : 51kD
Observed band size : 51kD
Sample: Kidney(Mouse) lysate at 30ug;
Primary: Anti-ODC(bs-1294R) at 1:300 dilution;
Secondary: HRP conjugated Goat-Anti-rabbit IgG(bs-0295G-HRP) at 1: 5000 dilution;
Predicted band size:51 kD
Observed band size:51 kD
Paraformaldehyde-fixed, paraffin embedded (rat stomach tissue); Antigen retrieval by boiling in sodium citrate buffer (pH6.0) for 15min; Block endogenous peroxidase by 3% hydrogen peroxide for 20 minutes; Blocking buffer (normal goat serum) at 37°C for 30min; Antibody incubation with (ODC) Polyclonal Antibody, Unconjugated (bs-1294R) at 1:400 overnight at 4°C, followed by a conjugated secondary (sp-0023) for 20 minutes and DAB staining.
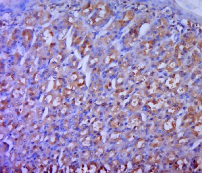
Paraformaldehyde-fixed, paraffin embedded (rat liver tissue); Antigen retrieval by boiling in sodium citrate buffer (pH6.0) for 15min; Block endogenous peroxidase by 3% hydrogen peroxide for 20 minutes; Blocking buffer (normal goat serum) at 37°C for 30min; Antibody incubation with (ODC) Polyclonal Antibody, Unconjugated (bs-1294R) at 1:400 overnight at 4°C, followed by a conjugated secondary (sp-0023) for 20 minutes and DAB staining.

