产品中心
当前位置:首页>产品中心Anti-Survivin
货号: bs-0615R 基本售价: 380.0 元 规格: 20ul
- 规格:20ul
- 价格:380.00元
- 规格:50ul
- 价格:780.00元
- 规格:100ul
- 价格:1380.00元
- 规格:200ul
- 价格:2200.00元
产品信息
- 产品编号
- bs-0615R
- 英文名称
- Survivin
- 中文名称
- 细胞凋亡抑制因子抗体
- 别 名
- API4; API-4; API 4; Survivin variant 3 alpha; Apoptosis Inhibitor 4; Apoptosis inhibitor survivin; Apoptosis inhibitor4; Baculoviral IAP repeat containing 5; Baculoviral IAP repeat containing protein 5; Baculoviral IAP repeat-containing protein 5; BIRC 5; BIRC5; BIRC-5; EPR 1; EPR-1; IAP4; IAP-4; IAP 4; SVV; TIAP; BIRC5_HUMAN.
- 规格价格
- 50ul/780元购买 100ul/1380元购买 200ul/2200元购买 大包装/询价
- 说 明 书
- 50ul 100ul 200ul
- 研究领域
- 肿瘤 细胞生物 免疫学 细胞凋亡
- 抗体来源
- Rabbit
- 克隆类型
- Polyclonal
- 交叉反应
- Human, Mouse, Rat, Dog, Pig, Cow, Horse, Guinea Pig,
- 产品应用
- WB=1:500-2000 ELISA=1:500-1000 IHC-P=1:400-800 IHC-F=1:400-800 Flow-Cyt=1μg/Test IF=1:100-500 (石蜡切片需做抗原修复)
not yet tested in other applications.
optimal dilutions/concentrations should be determined by the end user.
- 分 子 量
- 16.5kDa
- 细胞定位
- 细胞核 细胞浆
- 性 状
- Lyophilized or Liquid
- 浓 度
- 1mg/ml
- 免 疫 原
- KLH conjugated synthetic peptide derived from human Survivin:85-142/142
- 亚 型
- IgG
- 纯化方法
- affinity purified by Protein A
- 储 存 液
- 0.01M TBS(pH7.4) with 1% BSA, 0.03% Proclin300 and 50% Glycerol.
- 保存条件
- Store at -20 °C for one year. Avoid repeated freeze/thaw cycles. The lyophilized antibody is stable at room temperature for at least one month and for greater than a year when kept at -20°C. When reconstituted in sterile pH 7.4 0.01M PBS or diluent of antibody the antibody is stable for at least two weeks at 2-4 °C.
- PubMed
- PubMed
- 产品介绍
- background:
May play a role in neoplasia. May counteract a default induction of apoptosis in G2/M phase. Interacts with tubulin. Inhibitor of caspase-3 and caspase-7. Component of the chromosomal passenger complex (CPC), a complex that acts as a key regulator of mitosis. The CPC complex has essential functions at the centromere in ensuring correct chromosome alignment and segregation and is required for chromatin-induced microtubule stabilization and spindle assembly (By similarity). Belongs to the IAP family.
Function:
Multitasking protein that has dual roles in promoting cell proliferation and preventing apoptosis. Component of a chromosome passage protein complex (CPC) which is essential for chromosome alignment and segregation during mitosis and cytokinesis. Acts as an important regulator of the localization of this complex; directs CPC movement to different locations from the inner centromere during prometaphase to midbody during cytokinesis and participates in the organization of the center spindle by associating with polymerized microtubules. The complex with RAN plays a role in mitotic spindle formation by serving as a physical scaffold to help deliver the RAN effector molecule TPX2 to microtubules. May counteract a default induction of apoptosis in G2/M phase. The acetylated form represses STAT3 transactivation of target gene promoters. May play a role in neoplasia. Inhibitor of CASP3 and CASP7. Isoform 2 and isoform 3 do not appear to play vital roles in mitosis. Isoform 3 shows a marked reduction in its anti-apoptotic effects when compared with the displayed wild-type isoform.
Subunit:
Monomer or homodimer. Exists as a homodimer in the apo state and as a monomer in the CPC-bound state. The monomer protects cells against apoptosis more efficiently than the dimer. Only the dimeric form is capable of enhancing tubulin stability in cells. When phosphorylated, interacts with HBXIP; the resulting complex binds pro-CASP9, as well as active CASP9, but much less efficiently. Component of the chromosomal passenger complex (CPC) composed of at least BIRC5/survivin, CDCA8/borealin, INCENP, AURKB and AURKC. Interacts with JTB. Interacts with CDCA8 and INCENP; interaction is direct. Interacts with EVI5. Interacts with GTP-bound RAN in both the S and M phases of the cell cycle. Interacts with USP9X. Interacts with tubulin. Interacts with BIRC2/c-IAP1. The acetylated form at Lys-129 interacts with STAT3. The monomeric form deacetylated at Lys-129 interacts with XPO1/CRM1. The monomeric form interacts with XIAP/BIRC4. Both the dimeric and monomeric form can interact with DIABLO/SMAC. Interacts with BIRC6/bruce.
Subcellular Location:
Cytoplasm. Nucleus. Chromosome. Chromosome, centromere. Cytoplasm, cytoskeleton, spindle. Chromosome, centromere, kinetochore. Midbody. Note=Localizes on chromosome arms and inner centromeres from prophase through metaphase. Localizes to kinetochores in metaphase, distributes to the midzone microtubules in anaphase and at telophase, localizes exclusively to the midbody. Colocalizes with AURKB at mitotic chromosomes. Acetylation at Lys-129 directs its localization to the nucleus by enhancing homodimerization and thereby inhibiting XPO1/CRM1-mediated nuclear export.
Tissue Specificity:
Expressed only in fetal kidney and liver, and to lesser extent, lung and brain. Abundantly expressed in adenocarcinoma (lung, pancreas, colon, breast, and prostate) and in high-grade lymphomas. Also expressed in various renal cell carcinoma cell lines.
Post-translational modifications:
Ubiquitination is required for centrosomal targeting.
In vitro phosphorylation at Thr-117 by AURKB prevents interaction with INCENP and localization to mitotic chromosomes. Phosphorylation at Thr-48 by CK2 is critical for its mitotic and anti-apoptotic activities.
Acetylation at Lys-129 by CBP results in its homodimerization, while deacetylation promotes the formation of monomers which heterodimerize with XPO1/CRM1 which facilitates its nuclear export. The acetylated form represses STAT3 transactivation. The dynamic equilibrium between its acetylation and deacetylation at Lys-129 determines its interaction with XPO1/CRM1, its subsequent subcellular localization, and its ability to inhibit STAT3 transactivation.
Similarity:
Belongs to the IAP family.
Contains 1 BIR repeat.
SWISS:
O15392
Gene ID:
332
Database links:Entrez Gene: 332 Human
Entrez Gene: 11799 Mouse
Entrez Gene: 64041 Rat
Omim: 603352 Human
SwissProt: O15392 Human
SwissProt: O70201 Mouse
SwissProt: Q9JHY7 Rat
Unigene: 514527 Human
Unigene: 8552 Mouse
Unigene: 54471 Rat
Important Note:
This product as supplied is intended for research use only, not for use in human, therapeutic or diagnostic applications.
Survivin是目前发现的最强的凋亡抑制因子,存活蛋白是细胞凋亡抑制基因家族中的一个新成员,主要表达于细胞周期中的G2/M期,在许多恶性肿瘤组织中均有表达,主要用于各种恶性肿瘤的研究。
是细胞凋亡的一种抑制因子、参与细胞凋亡调控,可以用于各种恶性肿瘤的细胞凋亡的研究。Survivin具有肿瘤特异性,只表达于肿瘤和胚胎组织,且与肿瘤细胞的分化增殖及浸润转移密切相关.
- 产品图片
Sample: Small intestine (mouse) Lysate at 40 ug
Primary: Anti- Survivin (bs-0615R) at 1/300 dilution
Secondary: IRDye800CW Goat Anti-Rabbit IgG at 1/20000 dilution
Predicted band size: 16.5 kD
Observed band size: 20 kD
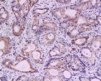
Tissue/cell: human colon carcinoma; 4% Paraformaldehyde-fixed and paraffin-embedded;
Antigen retrieval: citrate buffer ( 0.01M, pH 6.0 ), Boiling bathing for 15min; Block endogenous peroxidase by 3% Hydrogen peroxide for 30min; Blocking buffer (normal goat serum,C-0005) at 37℃ for 20 min;
Incubation: Anti-Survivin Polyclonal Antibody, Unconjugated(bs-0615R) 1:200, overnight at 4°C, followed by conjugation to the secondary antibody(SP-0023) and DAB(C-0010) staining
Tissue/cell: human Gastric cancer cells;
Block endogenous peroxidase by 3% Hydrogen peroxide for 30min; Blocking buffer (normal goat serum,C-0005) at 37℃ for 20 min;
Incubation: Anti-Survivin Polyclonal Antibody, Unconjugated(bs-0615R) 1:300, overnight at 4°C, followed by conjugation to the secondary antibody(SP-0023) and DAB(C-0010) staining
Tissue/cell: Human oral squamous cell carcinoma;4% Paraformaldehyde-fixed;
Blocking buffer (normal goat serum,C-0005) at 37℃ for 20 min;
Incubation: Anti-HPV16-E7 Polyclonal Antibody, FITC conjugated(bs-4623R-FITC) 1:200, 37°C, 40min; The secondary antibody was Anti-Survivin Polyclonal Antibody, Cy3 conjugated (bs-0615R-Cy3)used at 1:200 dilution for 40 minutes at 37°C. DAPI(5ug/ml,blue,C-0033) was used to stain the cell nuclei
Blank control (blue line): U251
Primary Antibody (green line): Rabbit Anti-Survivin antibody (bs-0615R)
Dilution: 1μg /10^6 cells;
Isotype Control Antibody (orange line): Rabbit IgG .
Secondary Antibody (white blue line): Goat anti-rabbit IgG-FITC
Dilution: 1μg /test.
Protocol
The cells were fixed with 70% ethanol (Overnight at 4℃) and then permeabilized with 90% ice-cold methanol for 30 min on ice. Cells stained with Primary Antibody for 30 min at room temperature. The cells were then incubated in 1 X PBS/2%BSA/10% goat serum to block non-specific protein-protein interactions followed by the antibody for 15 min at room temperature. The secondary antibody used for 40 min at room temperature. Acquisition of 20,000 events was performed.

