产品中心
当前位置:首页>产品中心Anti-HSP27
货号: bs-0730R 基本售价: 380.0 元 规格: 20ul
- 规格:20ul
- 价格:380.00元
- 规格:50ul
- 价格:780.00元
- 规格:100ul
- 价格:1380.00元
- 规格:200ul
- 价格:2200.00元
产品信息
- 产品编号
- bs-0730R
- 英文名称
- HSP27
- 中文名称
- 热休克蛋白27/HSP25抗体
- 别 名
- Heat shock 27kDa protein; 28 kDa heat shock protein; CMT2F; DKFZp586P1322; Estrogen regulated 24 kDa protein; Estrogen-regulated 24 kDa protein; Heat shock 25kDa protein 1; Heat shock 25kDa protein 1; Heat shock 27 kDa protein; Heat shock 27kD protein 1; Heat shock 27kDa protein 1; Heat shock 27kDa protein 1; Heat shock 28kDa protein 1; Heat shock 28kDa protein 1; Heat Shock Protein 27; Heat Shock Protein 27; Heat shock protein beta 1; Heat shock protein beta-1; Heat Shock Protein27; Heat Shock Protein27; HMN2B; HS.76067; Hsp 25; Hsp 25; Hsp 27; Hsp 27; Hsp 28; Hsp 28; Hsp B1; Hsp B1; Hsp25; Hsp25; HSP27; Hsp28; Hsp28; HspB1; HspB1; HSPB1_HUMAN; SRP27; Stress responsive protein 27; Stress-responsive protein 27.

- Specific References (1) | bs-0730R has been referenced in 1 publications.[IF=2.04] Gao, Hong, et al. "Comparative study of Hsp27, GSK3β, Wnt1 and PRDX3 in Hirschsprungs disease." International Journal of Experimental Pathology (2014). WB ; Human.PubMed:24773279
- 规格价格
- 50ul/780元购买 100ul/1380元购买 200ul/2200元购买 大包装/询价
- 说 明 书
- 50ul 100ul 200ul
- 研究领域
- 肿瘤 免疫学 信号转导
- 抗体来源
- Rabbit
- 克隆类型
- Polyclonal
- 交叉反应
- Human, Mouse, Rat, Dog, Pig, Cow,
- 产品应用
- WB=1:500-2000 ELISA=1:500-1000 IHC-P=1:400-800 IHC-F=1:400-800 Flow-Cyt=2μg/Test IF=1:100-500 (石蜡切片需做抗原修复)
not yet tested in other applications.
optimal dilutions/concentrations should be determined by the end user.
- 分 子 量
- 27kDa
- 细胞定位
- 细胞核 细胞浆
- 性 状
- Lyophilized or Liquid
- 浓 度
- 1mg/ml
- 免 疫 原
- KLH conjugated synthetic peptide derived from human HSP27:101-205/205
- 亚 型
- IgG
- 纯化方法
- affinity purified by Protein A
- 储 存 液
- 0.01M TBS(pH7.4) with 1% BSA, 0.03% Proclin300 and 50% Glycerol.
- 保存条件
- Store at -20 °C for one year. Avoid repeated freeze/thaw cycles. The lyophilized antibody is stable at room temperature for at least one month and for greater than a year when kept at -20°C. When reconstituted in sterile pH 7.4 0.01M PBS or diluent of antibody the antibody is stable for at least two weeks at 2-4 °C.
- PubMed
- PubMed
- 产品介绍
- background:
The protein encoded by this gene is induced by environmental stress and developmental changes. The encoded protein is involved in stress resistance and actin organization and translocates from the cytoplasm to the nucleus upon stress induction. Defects in this gene are a cause of Charcot-Marie-Tooth disease type 2F (CMT2F) and distal hereditary motor neuropathy (dHMN). [provided by RefSeq, Oct 2008]
Function:
Involved in stress resistance and actin organization.
Subunit:
Interacts with TGFB1I1. Associates with alpha- and beta-tubulin, microtubules and CRYAB. Interacts with HSPB8 and HSPBAP1.
Subcellular Location:
Cytoplasm. Nucleus. Cytoplasm, cytoskeleton, spindle. Note=Cytoplasmic in interphase cells. Colocalizes with mitotic spindles in mitotic cells. Translocates to the nucleus during heat shock and resides in sub-nuclear structures known as SC35 speckles or nuclear splicing speckles.
Tissue Specificity:
Detected in all tissues tested: skeletal muscle, heart, aorta, large intestine, small intestine, stomach, esophagus, bladder, adrenal gland, thyroid, pancreas, testis, adipose tissue, kidney, liver, spleen, cerebral cortex, blood serum and cerebrospinal fluid. Highest levels are found in the heart and in tissues composed of striated and smooth muscle.
Post-translational modifications:
Phosphorylated in MCF-7 cells on exposure to protein kinase C activators and heat shock.
Phosphorylation by MAPKAPK2 and MAPKAPK3 in response to stress leads to dissociate HSP27/HSPB1 from large small heat-shock protein (sHsps) oligomers and impair its chaperone activity and ability to protect against oxidative stress effectively. Phosphorylation by MAPKAPK5 in response to PKA stimulation induces F-actin rearrangement.
DISEASE:
Defects in HSPB1 are the cause of Charcot-Marie-Tooth disease type 2F (CMT2F) [MIM:606595]. CMT2F is a form of Charcot-Marie-Tooth disease, the most common inherited disorder of the peripheral nervous system. Charcot-Marie-Tooth disease is classified in two main groups on the basis of electrophysiologic properties and histopathology: primary peripheral demyelinating neuropathy or CMT1, and primary peripheral axonal neuropathy or CMT2. Neuropathies of the CMT2 group are characterized by signs of axonal regeneration in the absence of obvious myelin alterations, normal or slightly reduced nerve conduction velocities, and progressive distal muscle weakness and atrophy. Nerve conduction velocities are normal or slightly reduced. CMT2F onset is between 15 and 25 years with muscle weakness and atrophy usually beginning in feet and legs (peroneal distribution). Upper limb involvement occurs later. CMT2F inheritance is autosomal dominant.
Defects in HSPB1 are a cause of distal hereditary motor neuronopathy type 2B (HMN2B) [MIM:608634]. Distal hereditary motor neuronopathies constitute a heterogeneous group of neuromuscular disorders caused by selective impairment of motor neurons in the anterior horn of the spinal cord, without sensory deficit in the posterior horn. The overall clinical picture consists of a classical distal muscular atrophy syndrome in the legs without clinical sensory loss. The disease starts with weakness and wasting of distal muscles of the anterior tibial and peroneal compartments of the legs. Later on, weakness and atrophy may expand to the proximal muscles of the lower limbs and/or to the distal upper limbs.
Similarity:
Belongs to the small heat shock protein (HSP20) family.
SWISS:
P04792
Gene ID:
3315
Database links:Entrez Gene: 3315Human
Entrez Gene: 15507Mouse
Entrez Gene: 24471Rat
Entrez Gene: 403979Dog
Omim: 602195Human
SwissProt: P42929Dog
SwissProt: P04792Human
SwissProt: P14602Mouse
SwissProt: P42930Rat
Unigene: 3849Dog
Unigene: 520973Human
Unigene: 13849Mouse
Unigene: 3841Rat
Important Note:
This product as supplied is intended for research use only, not for use in human, therapeutic or diagnostic applications.
信号传导(Signaling Intermediates)
适用组织:石蜡切片 细胞定位:胞浆和部分胞核
HSPs是细胞受应激原刺激后诱导产生的一组应激蛋白,与肿瘤发生、增殖及分化有关。按其分子量不同可分为3种类型,每组的HSPs的分布及功能有所不同。热休克蛋白27是人体中最常见而又最小的热休克蛋白。HSP27和其它HSPs可能与肿瘤耐药和肿瘤的分化程度以及病人的预后有关。
- 产品图片
Sample:
Brain(Mouse) lysate at 30ug;
Liver(Mouse) lysate at 30ug;
Primary: Anti-HSP-27 (bs-0730R) at 1:200;
Secondary: AP conjugated Goat Anti-Rabbit IgG(bs-0295G-AP) at 1: 3000 dilutionNBT/BCIP staining;
Predicted band size : 27kD
Observed band size : 27kD
Paraformaldehyde-fixed, paraffin embedded (rat stomach tissue); Antigen retrieval by boiling in sodium citrate buffer (pH6.0) for 15min; Block endogenous peroxidase by 3% hydrogen peroxide for 20 minutes; Blocking buffer (normal goat serum) at 37°C for 30min; Antibody incubation with (HSP27) Polyclonal Antibody, Unconjugated (bs-0730R) at 1:400 overnight at 4°C, followed by operating according to SP Kit(Rabbit) (sp-0023) instructionsand DAB staining.
Paraformaldehyde-fixed, paraffin embedded (Rat uterus); Antigen retrieval by boiling in sodium citrate buffer (pH6.0) for 15min; Block endogenous peroxidase by 3% hydrogen peroxide for 20 minutes; Blocking buffer (normal goat serum) at 37°C for 30min; Antibody incubation with (HSP27) Polyclonal Antibody, Unconjugated (bs-0730R) at 1:400 overnight at 4°C, followed by operating according to SP Kit(Rabbit) (sp-0023) instructionsand DAB staining.
Paraformaldehyde-fixed, paraffin embedded (Human breast cancer); Antigen retrieval by boiling in sodium citrate buffer (pH6.0) for 15min; Block endogenous peroxidase by 3% hydrogen peroxide for 20 minutes; Blocking buffer (normal goat serum) at 37°C for 30min; Antibody incubation with (HSP27) Polyclonal Antibody, Unconjugated (bs-0730R) at 1:400 overnight at 4°C, followed by operating according to SP Kit(Rabbit) (sp-0023) instructions and DAB staining.
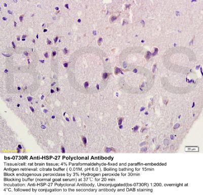
Tissue/cell: rat brain tissue; 4% Paraformaldehyde-fixed and paraffin-embedded;
Antigen retrieval: citrate buffer ( 0.01M, pH 6.0 ), Boiling bathing for 15min; Block endogenous peroxidase by 3% Hydrogen peroxide for 30min; Blocking buffer (normal goat serum,C-0005) at 37℃ for 20 min;
Incubation: Anti-HSP-27 Polyclonal Antibody, Unconjugated(bs-0730R) 1:200, overnight at 4°C, followed by conjugation to the secondary antibody(SP-0023) and DAB(C-0010) staining
Tissue/cell: rat brain tissue;4% Paraformaldehyde-fixed and paraffin-embedded;
Antigen retrieval: citrate buffer ( 0.01M, pH 6.0 ), Boiling bathing for 15min; Blocking buffer (normal goat serum,C-0005) at 37℃ for 20 min;
Incubation: Anti-HSP-27 Polyclonal Antibody, Unconjugated(bs-0730R) 1:200, overnight at 4°C; The secondary antibody was Goat Anti-Rabbit IgG, Cy3 conjugated(bs-0295G-Cy3)used at 1:200 dilution for 40 minutes at 37°C. DAPI(5ug/ml,blue,C-0033) was used to stain the cell nuclei
Blank control (blue line): A431 cells (blue).
Primary Antibody (green line): Rabbit Anti-HSP27 antibody (bs-0730R)
Dilution: 2μg /10^6 cells;
Isotype Control Antibody (orange line): Rabbit IgG .
Secondary Antibody (white blue line): Goat anti-rabbit IgG-FITC
Dilution: 1μg /test.
Protocol
The cells were fixed with 70% methanol (Overnight at 4℃) and then permeabilized with 90% ice-cold methanol for 20 min at -20℃. Cells stained with Primary Antibody for 30 min at room temperature. The cells were then incubated in 1 X PBS/2%BSA/10% goat serum to block non-specific protein-protein interactions followed by the antibody for 15 min at room temperature. The secondary antibody used for 40 min at room temperature. Acquisition of 20,000 events was performed.

