产品中心
当前位置:首页>产品中心Anti-CD4
货号: bs-0766R 基本售价: 380.0 元 规格: 20ul
- 规格:20ul
- 价格:380.00元
- 规格:50ul
- 价格:780.00元
- 规格:100ul
- 价格:1380.00元
- 规格:200ul
- 价格:2200.00元
产品信息
- 产品编号
- bs-0766R
- 英文名称
- CD4
- 中文名称
- CD4抗体
- 别 名
- CD4 (L3T4); CD4 antigen (p55); CD4 Antigen ; CD4 molecule; CD4 Receptor; CD4+ Lymphocyte deficiency, included; CD4mut; L3T4; Leu3; Ly-4; Lymphocyte antigen CD4; MGC165891; p55; T Cell Antigen T4 ; T cell antigen T4/LEU3; T cell differentiation antigen L3T4; T cell OKT4 deficiency, included; T cell surface antigen T4/Leu 3 ; T cell surface antigen T4/Leu3; T Cell Surface Glycoprotein CD4; W3/25; W3/25 antigen; T-cell surface glycoprotein CD4 isoform 1 precursor; CD4_MOUSE.

- Specific References (5) | bs-0766R has been referenced in 5 publications.[IF=3.06] Zhang, Wen, et al. "The role of CXCR3 in the induction of primary biliary cirrhosis." Clinical and Developmental Immunology 2011 (2011). IHC-P ; Mouse.PubMed:21647407[IF=1.85] Cheng, Lin, et al. "T cell immunohistochemistry refines lung transplant acute rejection diagnosis and grading." Diagnostic Pathology 8.1 (2013): 168. IHC-P ; Rat.PubMed:24330571[IF=2.12] Tzeng, Yuan-Sheng, et al. "Hypercapnic acidosis prolongs survival of skin allografts." Journal of Surgical Research (2014). IHC-P ; Mouse.PubMed:25577144[IF=8.39] Wang, Raymond M., et al. "Humanized mouse model for assessing the human immune response to xenogeneic and allogeneic decellularized biomaterials." Biomaterials (2017). IHC ; Mouse.PubMed:28334641[IF=3.03] Willett, Emily S., et al. "Standardized Rat Model Testing Effects of Inflammation and Grafting on Extraction Healing." Journal of Periodontology (2017): 1-15. IHC ; Rat.PubMed:28440741
- 规格价格
- 50ul/780元购买 100ul/1380元购买 200ul/2200元购买 大包装/询价
- 说 明 书
- 50ul 100ul 200ul
- 研究领域
- 细胞生物 免疫学 干细胞 细胞表面分子 淋巴细胞 t-淋巴细胞
- 抗体来源
- Rabbit
- 克隆类型
- Polyclonal
- 交叉反应
- Human, Mouse, Rat,
- 产品应用
- WB=1:500-2000 ELISA=1:500-1000 IHC-P=1:400-800 IHC-F=1:400-800 Flow-Cyt=3μg/Test IF=1:100-500 (石蜡切片需做抗原修复)
not yet tested in other applications.
optimal dilutions/concentrations should be determined by the end user.
- 分 子 量
- 48kDa
- 细胞定位
- 细胞膜
- 性 状
- Lyophilized or Liquid
- 浓 度
- 1mg/ml
- 免 疫 原
- KLH conjugated synthetic peptide derived from the middle of mouse CD4:231-330/457 <Extracellular>
- 亚 型
- IgG
- 纯化方法
- affinity purified by Protein A
- 储 存 液
- 0.01M TBS(pH7.4) with 1% BSA, 0.03% Proclin300 and 50% Glycerol.
- 保存条件
- Store at -20 °C for one year. Avoid repeated freeze/thaw cycles. The lyophilized antibody is stable at room temperature for at least one month and for greater than a year when kept at -20°C. When reconstituted in sterile pH 7.4 0.01M PBS or diluent of antibody the antibody is stable for at least two weeks at 2-4 °C.
- PubMed
- PubMed
- 产品介绍
- background:
This gene encodes a membrane glycoprotein of T lymphocytes that interacts with major histocompatibility complex class II antigenes and is also a receptor for the human immunodeficiency virus. This gene is expressed not only in T lymphocytes, but also in B cells, macrophages, and granulocytes. It is also expressed in specific regions of the brain. The protein functions to initiate or augment the early phase of T-cell activation, and may function as an important mediator of indirect neuronal damage in infectious and immune-mediated diseases of the central nervous system. Multiple alternatively spliced transcript variants encoding different isoforms have been identified in this gene. [provided by RefSeq, Aug 2010].
Function:
Accessory protein for MHC class-II antigen/T-cell receptor interaction. May regulate T-cell activation. Induces the aggregation of lipid rafts.
Subunit:
Associates with LCK. Binds to HIV-1 gp120 and to P4HB/PDI and upon HIV-1 binding to the cell membrane, is part of P4HB/PDI-CD4-CXCR4-gp120 complex. Interacts with HIV-1 Envelope polyprotein gp160 and protein Vpu. Interacts with Human Herpes virus 7 capsid proteins. Interacts with PTK2/FAK1; this interaction requires the presence of HIV-1 gp120.
Subcellular Location:
Cell membrane; Single-pass type I membrane protein. Note=Localizes to lipid rafts. Removed from plasma membrane by HIV-1 Nef protein that increases clathrin-dependent endocytosis of this antigen to target it to lysosomal degradation. Cell surface expression is also down-modulated by HIV-1 Envelope polyprotein gp160 that interacts with, and sequesters CD4 in the endoplasmic reticulum.
Post-translational modifications:
Palmitoylation and association with LCK contribute to the enrichment of CD4 in lipid rafts.
Similarity:
Contains 3 Ig-like C2-type (immunoglobulin-like) domains.
Contains 1 Ig-like V-type (immunoglobulin-like) domain.
SWISS:
P06332
Gene ID:
12504
Database links:Entrez Gene: 920 Human
Entrez Gene: 12504 Mouse
Omim: 186940 Human
SwissProt: P06332 Mouse
SwissProt: P01730 Human
Unigene: 631659 Human
Unigene: 2209 Mouse
Important Note:
This product as supplied is intended for research use only, not for use in human, therapeutic or diagnostic applications.
此抗体可识别55KDⅠ型单链穿膜糖蛋白。
CD4分子是存在于大多数辅助/诱导T细胞表面的59kDa的糖蛋白。正常淋巴组织中CD4的表达数量多于CD8,此抗体主要用于标记辅助/诱导T细胞,与CD8单抗联合使用对外周血淋巴细胞分型。
CD4抗原是HLA-II类分子和人类免疫缺陷病毒(HIV)-爱滋病的受体,在35-50%外周血淋巴细胞-辅助和诱导T细胞(Th/Ti)和70-80%人胸腺细胞上表达,在人的单核细胞表面也有低密度的表达。
CD4抗原有膜结合型和可溶性两种形式。Th/Ti可辅助Ig产生和T细胞毒T细胞的作用。
- 产品图片
Sample:
Jurkat(Human) Cell Lysate at 30 ug
Primary: Anti-CD4 (bs-0766R) at 1/300 dilution
Secondary: IRDye800CW Goat Anti-Rabbit IgG at 1/20000 dilution
Predicted band size: 48 kD
Observed band size: 48 kD
Sample:
Lymph node (Mouse) Lysate at 40 ug
Spleen (Mouse) Lysate at 40 ug
Primary: Anti-CD4 (bs-0766R) at 1/300 dilution
Secondary: IRDye800CW Goat Anti-Rabbit IgG at 1/20000 dilution
Predicted band size: 48 kD
Observed band size: 52 kD
Paraformaldehyde-fixed, paraffin embedded (rat spleen); Antigen retrieval by boiling in sodium citrate buffer (pH6.0) for 15min; Block endogenous peroxidase by 3% hydrogen peroxide for 20 minutes; Blocking buffer (normal goat serum) at 37°C for 30min; Antibody incubation with (CD4) Polyclonal Antibody, Unconjugated (bs-0766R) at 1:400 overnight at 4°C, followed by a conjugated secondary (sp-0023) for 20 minutes and DAB staining.
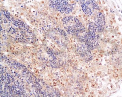
Tissue/cell: mouse lymphoma tissue; 4% Paraformaldehyde-fixed and paraffin-embedded;
Antigen retrieval: citrate buffer ( 0.01M, pH 6.0 ), Boiling bathing for 15min; Block endogenous peroxidase by 3% Hydrogen peroxide for 30min; Blocking buffer (normal goat serum,C-0005) at 37℃ for 20 min;
Incubation: Anti-CD4 Polyclonal Antibody, Unconjugated(bs-0766R) 1:200, overnight at 4癈, followed by conjugation to the secondary antibody(SP-0023) and DAB(C-0010) staining
Tissue/cell: mouse lymphoma tissue; 4% Paraformaldehyde-fixed and paraffin-embedded;
Antigen retrieval: citrate buffer ( 0.01M, pH 6.0 ), Boiling bathing for 15min; Block endogenous peroxidase by 3% Hydrogen peroxide for 30min; Blocking buffer (normal goat serum,C-0005) at 37℃ for 20 min;
Incubation: Anti-CD4 Polyclonal Antibody, Unconjugated(bs-0766R) 1:200, overnight at 4癈, followed by conjugation to the secondary antibody(SP-0023) and DAB(C-0010) staining
Tissue/cell: rat lung tissue;4% Paraformaldehyde-fixed and paraffin-embedded;
Antigen retrieval: citrate buffer ( 0.01M, pH 6.0 ), Boiling bathing for 15min; Blocking buffer (normal goat serum,C-0005) at 37℃ for 20 min;
Incubation: Anti-CD4(mouse, rat) Polyclonal Antibody, Unconjugated(bs-0766R) 1:200, overnight at 4癈; The secondary antibody was Goat Anti-Rabbit IgG, Cy3 conjugated(bs-0295G-Cy3)used at 1:200 dilution for 40 minutes at 37癈. DAPI(5ug/ml,blue,C-0033) was used to stain the cell nuclei
Blank control: Mouse splen.
Primary Antibody (green line): Rabbit Anti-CD4 antibody (bs-0766R)
Dilution: 3μg /10^6 cells;
Isotype Control Antibody (orange line): Rabbit IgG .
Secondary Antibody: Goat anti-rabbit IgG-AF647
Dilution: 3μg /test.
Protocol
The cells incubated in 5%BSA to block non-specific protein-protein interactions for 30 min at room temperature .Cells stained with Primary Antibody for 30 min at room temperature. The secondary antibody used for 40 min at room temperature. Acquisition of 20,000 events was performed.
Blank control (blue line): Mouse spleen cells(blue).
Primary Antibody (green line): Rabbit Anti-CD4/PE-CY7 Conjugated antibody (bs-0766R-PE-CY7)
Dilution: 1μg /10^6 cells;
Isotype Control Antibody (orange line): Rabbit IgG-PE-CY7 .
Protocol
The cells were fixed with 70% ice-cold methanol overnight at 4℃ . The cells were then incubated in 1 X PBS/2%BSA/10% goat serum to block non-specific protein-protein interactions followed by the antibody for 15 min at room temperature. Cells stained with Primary Antibody for 30 min at room temperature.Acquisition of 20,000 events was performed.

