产品中心
当前位置:首页>产品中心Anti-ASC
货号: bs-6741R 基本售价: 780.0 元 规格: 50ul
- 规格:50ul
- 价格:780.00元
- 规格:100ul
- 价格:1380.00元
- 规格:200ul
- 价格:2200.00元
产品信息
- 产品编号
- bs-6741R
- 英文名称
- ASC
- 中文名称
- 凋亡相关斑点样蛋白ASC抗体
- 别 名
- TMS1; Apoptosis associated speck like protein containing a CARD; Apoptosis-associated speck-like protein containing a CARD; ASC_HUMAN; CARD 5; CARD5; Caspase recruitment domain containing protein 5; Caspase recruitment domain protein 5; Caspase recruitment domain-containing protein 5; hASC; MGC10332; PYCARD; TMS-1; PYD and CARD domain containing; PYD and CARD domain containing protein; PYD and CARD domain-containing protein; Target of methylation induced silencing 1; Target of methylation-induced silencing 1; TMS 1.

- Specific References (1) | bs-6741R has been referenced in 1 publications.[IF=3.06] Zhang, Bo, et al. "Cortistatin inhibits NLRP3 inflammasome activation of cardiac fibroblasts during sepsis." Journal of Cardiac Failure (2015). WB ; Rat.PubMed:25639691
- 规格价格
- 50ul/780元购买 100ul/1380元购买 200ul/2200元购买 大包装/询价
- 说 明 书
- 50ul 100ul 200ul
- 研究领域
- 肿瘤 细胞生物 免疫学 信号转导 细胞凋亡 转录调节因子 肿瘤细胞生物标志物
- 抗体来源
- Rabbit
- 克隆类型
- Polyclonal
- 交叉反应
- Human, Mouse, Rat, Dog, Pig, Cow, Horse, Rabbit,
- 产品应用
- WB=1:500-2000 ELISA=1:500-1000 IHC-P=1:400-800 IHC-F=1:400-800 Flow-Cyt=1ug/test IF=1:100-500 (石蜡切片需做抗原修复)
not yet tested in other applications.
optimal dilutions/concentrations should be determined by the end user.
- 分 子 量
- 22kDa
- 细胞定位
- 细胞核 细胞浆
- 性 状
- Lyophilized or Liquid
- 浓 度
- 1mg/ml
- 免 疫 原
- KLH conjugated synthetic peptide derived from human TMS1/ASC:31-130/195
- 亚 型
- IgG
- 纯化方法
- affinity purified by Protein A
- 储 存 液
- 0.01M TBS(pH7.4) with 1% BSA, 0.03% Proclin300 and 50% Glycerol.
- 保存条件
- Store at -20 °C for one year. Avoid repeated freeze/thaw cycles. The lyophilized antibody is stable at room temperature for at least one month and for greater than a year when kept at -20°C. When reconstituted in sterile pH 7.4 0.01M PBS or diluent of antibody the antibody is stable for at least two weeks at 2-4 °C.
- PubMed
- PubMed
- 产品介绍
- background:
Promotes caspase-mediated apoptosis. This proapoptotic activity is mediated predominantly through the activation of caspase-9. May be a component of the inflammasome, a protein complex which also includes NALP2, CARD8 and CASP1 and whose function would be the activation of proinflammatory caspases.Tissue specificity: Widely expressed at low levels. Detected in peripheral blood leukocytes, lung, small intestine, spleen, thymus, colon and at lower levels in placenta, liver and kidney. Very low expression in skeletal muscle, heart and brain. Detected in the leukemia cell lines HL-60 and U937, but not in Jurkat T-cell lymphoma and Daudi Burkitts lymphoma.
Function:
Promotes caspase-mediated apoptosis. This proapoptotic activity is mediated predominantly through the activation of caspase-9. May be a component of the inflammasome, a protein complex which also includes NALP2, CARD8 and CASP1 and whose function would be the activation of proinflammatory caspases.
Subunit:
Forms complexes with other DAPIN domain-containing proteins. Interacts with CIAS1/PYPAF1 and PYDC1.
Subcellular Location:
Cytoplasm. Note=Upstream of caspase activation, a redistribution from the cytoplasm to the aggregates occurs. These appear as hollow, perinuclear spherical, ball-like structures.
Tissue Specificity:
Widely expressed at low levels. Detected in peripheral blood leukocytes, lung, small intestine, spleen, thymus, colon and at lower levels in placenta, liver and kidney. Very low expression in skeletal muscle, heart and brain. Detected in the leukemia cell lines HL-60 and U937, but not in Jurkat T-cell lymphoma and Daudi Burkitts lymphoma. Detected in the melanoma cell line WM35, but not in WM793. Not detected in HeLa cervical carcinoma cells and Molt 4 lymphocytic leukemia cells.
Post-translational modifications:
Phosphorylated.
Similarity:
Contains 1 CARD domain.
Contains 1 DAPIN domain.
SWISS:
Q9ULZ3
Gene ID:
29108
Database links:Entrez Gene: 29108 Human
Omim: 606838 Human
SwissProt: Q9ULZ3 Human
Unigene: 499094 Human
Important Note:
This product as supplied is intended for research use only, not for use in human, therapeutic or diagnostic applications.
- 产品图片
Sample:Spinal cord (Rat)Lysate at 40 ug
Primary: Anti-ASC(bs-6741R)at 1/300 dilution
Secondary: IRDye800CW Goat Anti-RabbitIgG at 1/20000 dilution
Predicted band size: 22kD
Observed band size: 18kD
Sample:Cerebrum (Rat)Lysate at 40 ug
Primary: Anti-ASC(bs-6741R)at 1/300 dilution
Secondary: IRDye800CW Goat Anti-RabbitIgG at 1/20000 dilution
Predicted band size: 22kD
Observed band size: 18kD
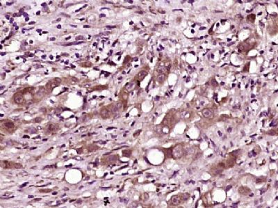
Paraformaldehyde-fixed, paraffin embedded (human gastric carcinoma); Antigen retrieval by boiling in sodium citrate buffer (pH6.0) for 15min; Block endogenous peroxidase by 3% hydrogen peroxide for 20 minutes; Blocking buffer (normal goat serum) at 37°C for 30min; Antibody incubation with (ASC) Polyclonal Antibody, Unconjugated (bs-6741R) at 1:400 overnight at 4°C, followed by operating according to SP Kit(Rabbit) (sp-0023) instructionsand DAB staining.
Paraformaldehyde-fixed, paraffin embedded (mouse brain tissue); Antigen retrieval by boiling in sodium citrate buffer (pH6.0) for 15min; Block endogenous peroxidase by 3% hydrogen peroxide for 20 minutes; Blocking buffer (normal goat serum) at 37°C for 30min; Antibody incubation with (ASC) Polyclonal Antibody, Unconjugated (bs-6741R) at 1:400 overnight at 4°C, followed by operating according to SP Kit(Rabbit) (sp-0023) instructionsand DAB staining.
Tissue/cell: Mouse spleen tissue; 4% Paraformaldehyde-fixed and paraffin-embedded;
Antigen retrieval: citrate buffer ( 0.01M, pH 6.0 ), Boiling bathing for 15min; Block endogenous peroxidase by 3% Hydrogen peroxide for 30min; Blocking buffer (normal goat serum,C-0005) at 37℃ for 20 min;
Incubation: Anti-ASC Polyclonal Antibody, Unconjugated(bs-6741R) 1:200, overnight at 4°C, followed by conjugation to the secondary antibody(SP-0023) and DAB(C-0010) staining
Blank control:A549.
Primary Antibody (green line): Rabbit Anti-ASC antibody (bs-6741R)
Dilution: 1μg /10^6 cells;
Isotype Control Antibody (orange line): Rabbit IgG .
Secondary Antibody : Goat anti-rabbit IgG-PE
Dilution: 1μg /test.
Protocol
The cells were fixed with 4% PFA (10min at room temperature)and then permeabilized with 20% PBST for 20 min at-20℃. The cells were then incubated in 5%BSA to block non-specific protein-protein interactions for 30 min at at room temperature .Cells stained with Primary Antibody for 30 min at room temperature. The secondary antibody used for 40 min at room temperature. Acquisition of 20,000 events was performed.

