产品中心
当前位置:首页>产品中心Anti-G-CSF
货号: bsm-10808M 基本售价: 860.0 元 规格: 50ul
- 规格:50ul
- 价格:860.00元
- 规格:100ul
- 价格:1580.00元
产品信息
- 产品编号
- bsm-10808M
- 英文名称
- G-CSF
- 中文名称
- 粒细胞-巨噬细胞集落刺激因子3单克隆抗体
- 别 名
- Colony stimulating factor 3 (granulocyte); CSF 3; CSF beta; CSF3; Csfg; Filgrastim; GCSA; GCSF; Granulocyte colony stimulating factor; Lenograstim; Macrophage granulocyte inducer 2; MGC45931; MGI 2; Pluripoietin; Granulocyte Colony Stimulating Factors 3; CSF3_HUMAN.
- 规格价格
- 50ul/860元购买 100ul/1580元购买 大包装/询价
- 说 明 书
- 50ul 100ul
- 研究领域
- 抗体来源
- Mouse
- 克隆类型
- Monoclonal
- 克 隆 号
- 2C7
- 交叉反应
- Human, Mouse,
- 产品应用
- WB=1:500-2000 ELISA=1:500-1000 IHC-P=1:400-800 IHC-F=1:400-800 ICC=1:100-500 IF=1:100-500 (石蜡切片需做抗原修复)
not yet tested in other applications.
optimal dilutions/concentrations should be determined by the end user.
- 分 子 量
- 19kDa
- 细胞定位
- 分泌型蛋白
- 性 状
- Lyophilized or Liquid
- 浓 度
- 1mg/ml
- 免 疫 原
- KLH conjugated synthetic peptide derived from human G-CSF:
- 亚 型
- IgG
- 纯化方法
- affinity purified by Protein A
- 储 存 液
- 0.01M TBS(pH7.4) with 1% BSA, 0.03% Proclin300 and 50% Glycerol.
- 保存条件
- Store at -20 °C for one year. Avoid repeated freeze/thaw cycles. The lyophilized antibody is stable at room temperature for at least one month and for greater than a year when kept at -20°C. When reconstituted in sterile pH 7.4 0.01M PBS or diluent of antibody the antibody is stable for at least two weeks at 2-4 °C.
- PubMed
- PubMed
- 产品介绍
- background:
Granulocyte-colony stimulating factor (G-CSF) is a growth factor and an essential cytokine belonging to the CSF family of hormone-like glycoproteins that regulate haematopoietic cell proliferation and differentiation. G-CSF was isolated initially as a factor supporting the growth of colonies of granulocytes in soft agar cultures. Cells of the monocyte/macrophage lineage are among the most prominent sources of G-CSF, but this factor can also be produced by normal cells of mesodermal origin, including vascular endothelial cells, fibroblasts, and mesothelial cells. Production of G-CSF can be induced in vitro in these cells by a wide variety of stimulatory agents, including LPS, TNF, IL-1, IL-3, I L-4, and IFN-Gamma. G-CSF is likely to play a role in the basal regulation of neutrophil production, and also functions as a primary regulatory factor controlling the neutrophil response to inflammatory stimuli. Furthermore, G-CSF exhibits other biological activities besides the proliferative effects, since G-CSF appears to modulate the distribution of neutrophils and progenitor cells within the body.
Function:
Granulocyte/macrophage colony-stimulating factors are cytokines that act in hematopoiesis by controlling the production, differentiation, and function of 2 related white cell populations of the blood, the granulocytes and the monocytes-macrophages. This CSF induces granulocytes.
Subcellular Location:
Secreted.
Post-translational modifications:
O-glycan consists of Gal-GalNAc disaccharide which can be modified with up to two sialic acid residues (done in recombinantly expressed G-CSF from CHO cells).
Similarity:
Belongs to the IL-6 superfamily.
SWISS:
P09919
Gene ID:
1440
Database links:Entrez Gene: 1440Human
Omim: 138970Human
SwissProt: P09919Human
Unigene: 2233Human
Important Note:
This product as supplied is intended for research use only, not for use in human, therapeutic or diagnostic applications.
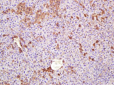
- 产品图片
Paraformaldehyde-fixed, paraffin embedded (Mouse liver); Antigen retrieval by boiling in sodium citrate buffer (pH6.0) for 15min; Block endogenous peroxidase by 3% hydrogen peroxide for 20 minutes; Blocking buffer (normal goat serum) at 37°C for 30min; Antibody incubation with (G-CSF) Polyclonal Antibody, Unconjugated (bsm-10808M) at 1:400 overnight at 4°C, followed by a conjugated secondary antibody (sp-0023) for 20 minutes and DAB staining.

