一抗

克隆类型
多抗单抗
产品类型
标签抗体磷酸化抗体内参抗体甲基化抗体乙酰化抗体药物与化合物抗体植物抗体
研究领域
肿瘤心血管细胞生物免疫学发育生物学染色质和核信号微生物学细胞凋亡信号转导干细胞神经生物学生长因子和激素糖尿病内分泌病转运蛋白植物细菌及病毒转录调节因子海洋生物上皮细胞趋化因子结合蛋白细胞表面分子G蛋白偶联受体胶原蛋白糖蛋白交换蛋白细胞分化血管内皮细胞细胞类型标志物内皮细胞淋巴细胞T-淋巴细胞B-淋巴细胞细胞粘附分子肿瘤细胞生物标志物骨髓细胞细胞骨架跨膜蛋白细胞因子自然杀伤细胞树突状细胞标志物脂蛋白新陈代谢锌指蛋白通道蛋白细胞周期蛋白激酶和磷酸酶昆虫线粒体环指蛋白细胞自噬细胞膜受体药物及化合物泛素干扰素G蛋白信号细胞膜蛋白Alzheimers表观遗传学细胞外基质合成与降解

标记一抗

标记类型
HRPBiotinGoldRBITCAPFITCCy3Cy5Cy5.5Cy7PEPE-Cy3PE-Cy5PE-Cy5.5PE-Cy7APCAlexa Fluor 350Alexa Fluor 488Alexa Fluor 555Alexa Fluor 594Alexa Fluor 647

二抗

克隆类型
多抗单抗
产品分类
二抗二抗血清

标记二抗

标记类型
HRPBiotinGoldRBITCAPFITCCy3Cy5Cy5.5Cy7PEPE-Cy3PE-Cy5PE-Cy5.5PE-Cy7APCAlexa Fluor 350Alexa Fluor 488Alexa Fluor 555Alexa Fluor 594Alexa Fluor 647

蛋白质与多肽

产品分类
蛋白质多肽

标记蛋白质与多肽

所有产品
全部标记蛋白质与多肽

正常动物血清及免疫球蛋白

产品分类
正常动物血清免疫球蛋白

试剂盒

产品分类
ELISA试剂盒

常用试剂

产品分类
免疫组化常用试剂免疫印迹常用试剂常用显色试剂细胞生物学试剂分子生物学生化试剂

亲和层析柱

所有产品
亲和层析柱

配套试剂

所有产品
常用配套试剂

ELISA试剂盒

人ELISA试剂盒 大鼠ELISA试剂盒 小鼠ELISA试剂盒 牛ELISA试剂盒 鸡ELISA试剂盒 植物ELISA试剂盒 猴ELISA试剂盒 猪ELISA试剂盒 山羊ELISA试剂盒 马ELISA试剂盒 仓鼠ELISA试剂盒 绵羊ELISA试剂盒 兔子ELISA试剂盒 犬ELISA试剂盒 豚鼠ELISA试剂盒 其他ELISA试剂盒

生化试剂

色素类 分离材料及耗材 维生素 染色剂 碳水化合物 植物激素及核酸 抗生素 蛋白质 氨基酸 测试盒 其他生物试剂 缓冲剂 表面活性剂

血浆

血浆

血清

Sigma胎牛血清 gibco胎牛血清 Hyclone血清 人血清 国产新生牛血清 国产胎牛血清 其他血清

细胞

其它细胞 仓鼠细胞 猴细胞 大鼠细胞 人细胞 狗细胞 小鼠细胞 猫细胞 鸡细胞

标准品

对照品 农药标准品 标准物质 食品 无机溶液标准物质 有机溶液标准物质

抗体

兔抗 鼠抗 IgY抗体 IgA抗体 IgG抗体 二抗 一抗

裂解血

裂解血

培养基

美国药典培养基 化妆品检验培养基 大肠杆菌、大肠菌群 金黄色葡萄球菌检验 消毒灭菌效果评价 临床检验用培养基 中华人民共和国药典 欧洲药典(EP) 饮用天然矿泉水检验方法 微生物检验 霉菌、酵母菌 肠球菌、链球菌 沙门氏菌、志贺氏菌 弧菌 弯曲杆菌 李斯特氏菌 产气荚膜梭菌 阪崎肠杆菌 乳酸菌、双歧杆菌 小肠结肠炎耶尔森氏菌 蜡样芽孢杆菌检验 小肠结肠炎耶尔森氏菌检验 一次性试管、液体培养基 乳酸菌检验 菌落总数测定、无菌检验 显色培养基 植物组培

产品中心

当前位置:首页>产品中心

Anti-Beclin 1

货号: bsm-33315M 基本售价: 860.0 元 规格: 50ul

规格:50ul
价格:860.00元
规格:100ul
价格:1580.00元

产品信息

产品编号
bsm-33315M
英文名称
Beclin 1
中文名称
Bcl-2同源结构域蛋白单克隆抗体
别    名
Beclin-1; ATG6; beclin1; VPS30; Beclin 1 like protein 1; 4921513J16Rik; 5430417M23Rik; ATG6; BECLIN 1; BECN1; MGC6843; BECN1_HUMAN.  
规格价格
50ul/860元购买    100ul/1580元购买        大包装/询价
说 明 书
50ul  100ul  
研究领域
肿瘤  免疫学  神经生物学  细胞凋亡  
抗体来源
Mouse
克隆类型
Monoclonal
克 隆 号
7D2
交叉反应
Human, Mouse, Rat, 
产品应用
IHC-P=1:400-800 IHC-F=1:400-800 ICC=1:100-500 IF=1:100-500 (石蜡切片需做抗原修复)
not yet tested in other applications.
optimal dilutions/concentrations should be determined by the end user.
分 子 量
50kDa
细胞定位
细胞核 细胞浆 
性    状
Lyophilized or Liquid
浓    度
1mg/ml
免 疫 原
KLH conjugated synthetic peptide derived from human Beclin 1: 
亚    型
IgG
纯化方法
affinity purified by Protein G
储 存 液
0.01M TBS(pH7.4) with 1% BSA, 0.03% Proclin300 and 50% Glycerol.
保存条件
Store at -20 °C for one year. Avoid repeated freeze/thaw cycles. The lyophilized antibody is stable at room temperature for at least one month and for greater than a year when kept at -20°C. When reconstituted in sterile pH 7.4 0.01M PBS or diluent of antibody the antibody is stable for at least two weeks at 2-4 °C.
PubMed
PubMed
产品介绍
background:
Beclin 1 is the first identified mammalian gene to mediate autophagy and also has tumor suppressor and antiviral function. Autophagy, a process of bulk protein degradation through an autophagosomic lysosomal pathway, is important for differentiation, survival during nutrient deprivation, and normal growth control, and is often defective in tumor cells. Beclin 1 was originally isolated in a yeast two hybrid screen to identify Bcl 2 binding partners and maps to a tumor susceptibility locus on human chromosome 17q21 that is frequently monoallelically deleted in human breast, ovarian and prostate cancer. Beclin 1 encodes an evolutionarily conserved 52kDa coiled coil protein that is expressed in human muscle, epithelial cells and neurons.

Function:
Plays a central role in autophagy. Required for the abcission step in cytokinesis. May play a role in antiviral host defense. Protects against infection by a neurovirulent strain of Sindbis virus.

Subunit:
Interacts with GOPC and GRID2. Interacts with AMBRA1. Forms a complex with PIK3C3 and PIK3R4 and either UVRAG and KIAA0226/Rubicon, or with ATG14. UVRAG and ATG14 form mutually exclusive complexes through direct competition for BECN1-binding. The complex containing ATG14 up-regulates autophagy, while the one containing Rubicon down-regulates autophagy. Interacts with BCL2 and BCL2L1. Interacts with VMP1. Interacts with PIK3CB. Interacts with DAPK1. Interacts with human cytomegalovirus/HHV-5 protein TRS1.

Subcellular Location:
Golgi apparatus, trans-Golgi network membrane; Peripheral membrane protein. Note=Interaction with ATG14 promotes translocation to autophagosomes. Expressed in dendrites and cell bodies of cerebellar Purkinje cells.

Tissue Specificity:
Ubiquitous.

Post-translational modifications:
Phosphorylation at Thr-119 by DAPK1 reduces its interaction with BCL2 and BCL2L1 and promotes induction of autophagy.
Ubiquitinated. Deubiquitinated by USP10 and USP13, leading to stabilize the PIK3C3/VPS34-containing complexes.

Similarity:
Belongs to the beclin family.

SWISS:
Q14457

Gene ID:
8678

Database links:

Entrez Gene: 8678 Human

Entrez Gene: 56208 Mouse

Entrez Gene: 114558 Rat

Omim: 604378 Human

SwissProt: Q14457 Human

SwissProt: O88597 Mouse

SwissProt: Q91XJ1 Rat

Unigene: 716464 Human

Unigene: 178947 Mouse

Unigene: 2776 Rat



Important Note:
This product as supplied is intended for research use only, not for use in human, therapeutic or diagnostic applications.

产品图片
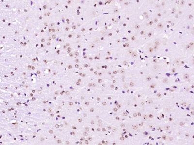
Paraformaldehyde-fixed, paraffin embedded (Mouse brain); Antigen retrieval by boiling in sodium citrate buffer (pH6.0) for 15min; Block endogenous peroxidase by 3% hydrogen peroxide for 20 minutes; Blocking buffer (normal goat serum) at 37°C for 30min; Antibody incubation with (Beclin 1) Monoclonal Antibody, Unconjugated (bsm-33315M) at 1:400 overnight at 4°C, followed by operating according to SP Kit(Mouse) (sp-0024) instructionsand DAB staining.
Paraformaldehyde-fixed, paraffin embedded (Mouse kidney); Antigen retrieval by boiling in sodium citrate buffer (pH6.0) for 15min; Block endogenous peroxidase by 3% hydrogen peroxide for 20 minutes; Blocking buffer (normal goat serum) at 37°C for 30min; Antibody incubation with (Beclin 1) Monoclonal Antibody, Unconjugated (bsm-33315M) at 1:800 overnight at 4°C, followed by operating according to SP Kit(Mouse) (sp-0024) instructions and DAB staining.
Paraformaldehyde-fixed, paraffin embedded (Mouse brain); Antigen retrieval by boiling in sodium citrate buffer (pH6.0) for 15min; Block endogenous peroxidase by 3% hydrogen peroxide for 20 minutes; Blocking buffer (normal goat serum) at 37°C for 30min; Antibody incubation with (Beclin 1) Monoclonal Antibody, Unconjugated (bsm-33315M) at 1:800 overnight at 4°C, followed by operating according to SP Kit(Mouse) (sp-0024) instructions and DAB staining.
Paraformaldehyde-fixed, paraffin embedded (Mouse lymph); Antigen retrieval by boiling in sodium citrate buffer (pH6.0) for 15min; Block endogenous peroxidase by 3% hydrogen peroxide for 20 minutes; Blocking buffer (normal goat serum) at 37°C for 30min; Antibody incubation with (Beclin 1) Monoclonal Antibody, Unconjugated (bsm-33315M) at 1:400 overnight at 4°C, followed by a conjugated secondary (sp-0023) for 20 minutes and DAB staining.