产品中心
当前位置:首页>产品中心Anti-HSP90 alpha
货号: bsm-33212M 基本售价: 860.0 元 规格: 50ul
- 规格:50ul
- 价格:860.00元
- 规格:100ul
- 价格:1580.00元
产品信息
- 产品编号
- bsm-33212M
- 英文名称
- HSP90 alpha
- 中文名称
- 热休克蛋白90α单克隆抗体
- 别 名
- HSP-90 alpha; HSP 86; HSP 86; Renal carcinoma antigen NY REN 38; Heat shock 86 kDa; Heat shock 90kDa protein 1 alpha; Heat shock protein 90kDa alpha (cytosolic) class A member 1; heat shock protein 90kDa alpha (cytosolic), class A member 2; Heat shock protein HSP 90-alpha; HS90A_HUMAN; HSP 86; HSP86; Hsp89; HSP89A; HSP90A; HSP90AA1; HSP90ALPHA; HSP90N; HSPC1; HSPCA; HSPCAL1; HSPCAL3; HSPCAL4; HSPN; LAP2; Renal carcinoma antigen NY-REN-38.
- 规格价格
- 50ul/860元购买 100ul/1580元购买 大包装/询价
- 说 明 书
- 50ul 100ul
- 研究领域
- 肿瘤 免疫学 信号转导 转录调节因子
- 抗体来源
- Mouse
- 克隆类型
- Monoclonal
- 克 隆 号
- 9E5
- 交叉反应
- Human, Mouse, Rat,
- 产品应用
- WB=1:500-1000 IHC-P=1:400-800 IHC-F=1:400-800 IF=1:100-500 (石蜡切片需做抗原修复)
not yet tested in other applications.
optimal dilutions/concentrations should be determined by the end user.
- 分 子 量
- 81kDa
- 细胞定位
- 细胞浆
- 性 状
- Lyophilized or Liquid
- 浓 度
- 1mg/ml
- 免 疫 原
- Recombinant human HSP90 alpha Protein:
- 亚 型
- IgG
- 纯化方法
- affinity purified by Protein G
- 储 存 液
- 0.01M TBS(pH7.4) with 1% BSA, 0.03% Proclin300 and 50% Glycerol.
- 保存条件
- Store at -20 °C for one year. Avoid repeated freeze/thaw cycles. The lyophilized antibody is stable at room temperature for at least one month and for greater than a year when kept at -20°C. When reconstituted in sterile pH 7.4 0.01M PBS or diluent of antibody the antibody is stable for at least two weeks at 2-4 °C.
- PubMed
- PubMed
- 产品介绍
- background:
Hsp90 (heat shock protein 90) is a molecular chaperone and is one of the most abundant proteins in unstressed cells. It is an ubiquitous molecular chaperone found in eubacteria and all branches of eukarya, but it is apparently absent in archaea. Whereas cytoplasmic Hsp90 is essential for viability under all conditions in eukaryotes, the bacterial homologue HtpG is dispensable under non-heat stress conditions.
Function:
Molecular chaperone that promotes the maturation, structural maintenance and proper regulation of specific target proteins involved for instance in cell cycle control and signal transduction. Undergoes a functional cycle that is linked to its ATPase activity. This cycle probably induces conformational changes in the client proteins, thereby causing their activation. Interacts dynamically with various co-chaperones that modulate its substrate recognition, ATPase cycle and chaperone function.
Subunit:
Homodimer. Interacts with AHSA1, FNIP1, HSF1, SMYD3 and TOM34. Interacts with TERT; the interaction, together with PTGES3, is required for correct assembly and stabilization of the TERT holoenzyme complex. Interacts with CHORDC1 and DNAJC7. Interacts with STUB1 and UBE2N; may couple the chaperone and ubiquitination systems.
Subcellular Location:
Cytoplasm. Melanosome. Note=Identified by mass spectrometry in melanosome fractions from stage I to stage IV.
Post-translational modifications:
ISGylated.
S-nitrosylated; negatively regulates the ATPase activity and the activation of eNOS by HSP90AA1.
Similarity:
Belongs to the heat shock protein 90 family.
SWISS:
P07900
Gene ID:
3320
Database links:Entrez Gene: 3320 Human
Entrez Gene: 15519 Mouse
Entrez Gene: 299331 Rat
Omim: 140571 Human
SwissProt: P07900 Human
SwissProt: P07901 Mouse
SwissProt: P82995 Rat
Unigene: 525600 Human
Unigene: 700831 Human
Unigene: 1843 Mouse
Unigene: 341186 Mouse
Unigene: 119867 Rat
Important Note:
This product as supplied is intended for research use only, not for use in human, therapeutic or diagnostic applications.
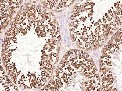
热休克蛋白-90α主要在类肌细胞、间质细胞、支持细胞核及生精细胞的胞浆表达; HSP-90 alpha与肿瘤的关系密切,在许多肿瘤细胞中HSP90α表达升高.
- 产品图片
Paraformaldehyde-fixed, paraffin embedded (Mouse testis); Antigen retrieval by boiling in sodium citrate buffer (pH6.0) for 15min; Block endogenous peroxidase by 3% hydrogen peroxide for 20 minutes; Blocking buffer (normal goat serum) at 37°C for 30min; Antibody incubation with (HSP90 alpha) Monoclonal Antibody, Unconjugated (bsm-33212M-9E5) at 1:400 overnight at 4°C, followed by operating according to SP Kit(Mouse) (sp-0024) instructionsand DAB staining.

