产品中心
当前位置:首页>产品中心Anti-DMT1
货号: bs-3577R 基本售价: 780.0 元 规格: 50ul
- 规格:50ul
- 价格:780.00元
- 规格:100ul
- 价格:1380.00元
- 规格:200ul
- 价格:2200.00元
产品信息
- 产品编号
- bs-3577R
- 英文名称
- DMT1
- 中文名称
- 金属离子转运体1抗体
- 别 名
- DCT 1; DCT1; Divalent metal transporter 1; DMT 1; DMT1; Natural resistance associated macrophage protein 2; NRAMP 2; NRAMP2; NRAM2_HUMAN.

- Specific References (2) | bs-3577R has been referenced in 2 publications.[IF=3.70] Zhang, Ying, et al. "Calcium channel blockers ameliorate iron overload-associated hepatic fibrosis by altering iron transport and stellate cell apoptosis." Toxicology and Applied Pharmacology (2016). WB ; Mouse.PubMed:27095094[IF=2.10] Zhang, L. Y., et al. "Effect of iron source on iron absorption and gene expression of iron transporters in the ligated duodenal loops of broilers." Journal of Animal Science (2017). WB ; Chicken.PubMed:28464091
- 规格价格
- 50ul/780元购买 100ul/1380元购买 200ul/2200元购买 大包装/询价
- 说 明 书
- 50ul 100ul 200ul
- 研究领域
- 肿瘤 免疫学 神经生物学
- 抗体来源
- Rabbit
- 克隆类型
- Polyclonal
- 交叉反应
- Human, Mouse, Rat, Cow,
- 产品应用
- WB=1:500-2000 ELISA=1:500-1000 IHC-P=1:400-800 IHC-F=1:400-800 Flow-Cyt=1ug/Test IF=1:100-500 (石蜡切片需做抗原修复)
not yet tested in other applications.
optimal dilutions/concentrations should be determined by the end user.
- 分 子 量
- 62kDa
- 细胞定位
- 细胞浆
- 性 状
- Lyophilized or Liquid
- 浓 度
- 1mg/ml
- 免 疫 原
- KLH conjugated synthetic peptide derived from human DMT1:251-350/568
- 亚 型
- IgG
- 纯化方法
- affinity purified by Protein A
- 储 存 液
- 0.01M TBS(pH7.4) with 1% BSA, 0.03% Proclin300 and 50% Glycerol.
- 保存条件
- Store at -20 °C for one year. Avoid repeated freeze/thaw cycles. The lyophilized antibody is stable at room temperature for at least one month and for greater than a year when kept at -20°C. When reconstituted in sterile pH 7.4 0.01M PBS or diluent of antibody the antibody is stable for at least two weeks at 2-4 °C.
- PubMed
- PubMed
- 产品介绍
- background:
DMT1 is a major transporter of ferrous iron from the intestinal lumen. DMT1 belongs to the family of NRAMP metal ion transporters which function in diverse organisms from bacteria to human. DMT1 (NRAMP2) transports metal ions at the plasma membrane of cells of both the duodenum and in peripheral tissues, and defective DMT1 causes anaemia.
Function:
Actin-bundling protein. May function in mitogen-activated protein kinase pathway.
Subcellular Location:
Cytoplasm.
Tissue Specificity:
Heart, brain, lung, skeletal muscle, and kidney.
Post-translational modifications:
Actin-bundling activity is abolished upon phosphorylation by cAMP-dependent protein kinase.
Similarity:
Belongs to the villin/gelsolin family.
Contains 1 HP (headpiece) domain.
SWISS:
P49281
Gene ID:
4891
Database links:Entrez Gene: 4891 Human
Entrez Gene: 18174 Mouse
Omim: 600523 Human
SwissProt: P49281 Human
SwissProt: P49282 Mouse
Unigene: 505545 Human
Unigene: 234608 Mouse
Important Note:
This product as supplied is intended for research use only, not for use in human, therapeutic or diagnostic applications.
- 产品图片
Sample:
Adrenal glands (Mouse) Lysate at 40 ug
Primary: Anti-DMT1 (bs-3577R) at 1/300 dilution
Secondary: IRDye800CW Goat Anti-Rabbit IgG at 1/20000 dilution
Predicted band size: 62 kD
Observed band size: 64 kD
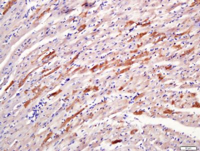
Paraformaldehyde-fixed, paraffin embedded (Rat heart); Antigen retrieval by boiling in sodium citrate buffer (pH6.0) for 15min; Block endogenous peroxidase by 3% hydrogen peroxide for 20 minutes; Blocking buffer (normal goat serum) at 37°C for 30min; Antibody incubation with (DMT1) Polyclonal Antibody, Unconjugated (bs-3577R) at 1:400 overnight at 4°C, followed by a conjugated secondary antibody (sp-0023) for 20 minutes and DAB staining.
Paraformaldehyde-fixed, paraffin embedded (Rat heart); Antigen retrieval by boiling in sodium citrate buffer (pH6.0) for 15min; Block endogenous peroxidase by 3% hydrogen peroxide for 20 minutes; Blocking buffer (normal goat serum) at 37°C for 30min; Antibody incubation with (Divalent metal transporter 1; DMT1) Polyclonal Antibody, Unconjugated (bs-3577R) at 1:400 overnight at 4°C, followed by a conjugated secondary antibody (sp-0023) for 20 minutes and DAB staining.
Paraformaldehyde-fixed, paraffin embedded (Rat heart); Antigen retrieval by boiling in sodium citrate buffer (pH6.0) for 15min; Block endogenous peroxidase by 3% hydrogen peroxide for 20 minutes; Blocking buffer (normal goat serum) at 37°C for 30min; Antibody incubation with (Divalent metal transporter 1; DMT1) Polyclonal Antibody, Unconjugated (bs-3577R) at 1:400 overnight at 4°C, followed by a conjugated secondary antibody (sp-0023) for 20 minutes and DAB staining.
Blank control:Molt-4.
Primary Antibody (green line): Rabbit Anti-DMT1 antibody (bs-3577)
Dilution: 1μg /10^6 cells;
Isotype Control Antibody (orange line): Rabbit IgG .
Secondary Antibody : Goat anti-rabbit IgG-PE
Dilution: 1μg /test.
Protocol
The cells were fixed with 4% PFA (10min at room temperature)and then permeabilized with 20% PBST for 20 min at-20℃. The cells were then incubated in 5%BSA to block non-specific protein-protein interactions for 30 min at at room temperature .Cells stained with Primary Antibody for 30 min at room temperature. The secondary antibody used for 40 min at room temperature. Acquisition of 20,000 events was performed.
Blank control (Black line): Molt4 (Black).
Primary Antibody (green line):Rabbit Anti-DMT1 antibody (bs-3577R)
Dilution: 3μg /10^6 cells;
Isotype Control Antibody (orange line): Rabbit IgG .
Secondary Antibody (white blue line): Goat anti-rabbit IgG-AF647
Dilution: 3μg /test.
Protocol
The cells were fixed with 4% PFA (10min at room temperature)and then permeabilized with PBST for 20 min at room temperature. The cells were then incubated in 5%BSA to block non-specific protein-protein interactions for 30 min at room temperature .Cells stained with Primary Antibody for 30 min at room temperature. The secondary antibody used for 40 min at room temperature. Acquisition of 20,000 events was performed.

