产品中心
当前位置:首页>产品中心Anti-APOA1
货号: bs-0849R 基本售价: 380.0 元 规格: 20ul
- 规格:20ul
- 价格:380.00元
- 规格:50ul
- 价格:780.00元
- 规格:100ul
- 价格:1380.00元
- 规格:200ul
- 价格:2200.00元
产品信息
- 产品编号
- bs-0849R
- 英文名称
- APOA1
- 中文名称
- 载脂蛋白A1抗体
- 别 名
- Apo-AI; ApoA I; ApoA-I; APOA1_HUMAN; Apolipoprotein A-I(1-242); Apolipoprotein A1; Apolipoprotein A 1; Apolipoprotein AI; Apolipoprotein A I; Brp14; Ltw1; Lvtw1; Sep1; Sep2.

- Specific References (4) | bs-0849R has been referenced in 4 publications.[IF=3.73] Hibert P, Prunier-Mirebeau D, Beseme O, Chwastyniak M, Tamareille S, et al. (2013) Apolipoprotein A-I Is a Potential Mediator of Remote Ischemic Preconditioning. PLoS ONE 8(10): e77211 Rat.PubMed:24155931[IF=2.91] Liu, Qian, et al. "Proteomic Study on Usnic Acid-induced Hepatotoxicity in Rats." Journal of agricultural and food chemistry (2012). WB ; Rat.PubMed:22758371[IF=1.75] Wu, Chun-Yan, et al. "Comparative proteome analysis of abdominal adipose tissues between fat and lean broilers." Proteome Science 14.1 (2016): 9. WB ; Chicken.PubMed:0[IF=1.38] Zhang, Pengfei, et al. "Proteome analysis of egg yolk after exposure to zinc oxide nanoparticles." Theriogenology (2017). WB ; Chicken.PubMed:28460670
- 规格价格
- 50ul/780元购买 100ul/1380元购买 200ul/2200元购买 大包装/询价
- 说 明 书
- 50ul 100ul 200ul
- 研究领域
- 心血管 免疫学 糖尿病 脂蛋白
- 抗体来源
- Rabbit
- 克隆类型
- Polyclonal
- 交叉反应
- Human, Mouse, Rat, Chicken, Pig, Cow,
- 产品应用
- WB=1:500-2000 ELISA=1:500-1000 IHC-P=1:400-800 IHC-F=1:400-800 Flow-Cyt=1μg/Test IF=1:100-500 (石蜡切片需做抗原修复)
not yet tested in other applications.
optimal dilutions/concentrations should be determined by the end user.
- 分 子 量
- 28kDa
- 细胞定位
- 分泌型蛋白
- 性 状
- Lyophilized or Liquid
- 浓 度
- 1mg/ml
- 免 疫 原
- KLH conjugated synthetic peptide derived from human APOA1:51-150/267
- 亚 型
- IgG
- 纯化方法
- affinity purified by Protein A
- 储 存 液
- 0.01M TBS(pH7.4) with 1% BSA, 0.03% Proclin300 and 50% Glycerol.
- 保存条件
- Store at -20 °C for one year. Avoid repeated freeze/thaw cycles. The lyophilized antibody is stable at room temperature for at least one month and for greater than a year when kept at -20°C. When reconstituted in sterile pH 7.4 0.01M PBS or diluent of antibody the antibody is stable for at least two weeks at 2-4 °C.
- PubMed
- PubMed
- 产品介绍
- background:
This gene encodes apolipoprotein A-I, which is the major protein component of high density lipoprotein (HDL) in plasma. The protein promotes cholesterol efflux from tissues to the liver for excretion, and it is a cofactor for lecithin cholesterolacyltransferase (LCAT) which is responsible for the formation of most plasma cholesteryl esters. This gene is closely linked with two other apolipoprotein genes on chromosome 11. Defects in this gene are associated with HDL deficiencies, including Tangier disease, and with systemic non-neuropathic amyloidosis. [provided by RefSeq, Jul 2008]
Function:
Participates in the reverse transport of cholesterol from tissues to the liver for excretion by promoting cholesterol efflux from tissues and by acting as a cofactor for the lecithin cholesterol acyltransferase (LCAT). As part of the SPAP complex, activates spermatozoa motility.
Subunit:
Interacts with APOA1BP and CLU. Component of a sperm activating protein complex (SPAP), consisting of APOA1, an immunoglobulin heavy chain, an immunoglobulin light chain and albumin. Interacts with NDRG1.
Subcellular Location:
Secreted.
Tissue Specificity:
Major protein of plasma HDL, also found in chylomicrons. Synthesized in the liver and small intestine. The oxidized form at Met-110 and Met-136 is increased in individuals with increased risk for coronary artery disease, such as in carrier of the eNOSa/b genotype and exposure to cigarette smoking. It is also present in increased levels in aortic lesions relative to native ApoA-I and increased levels are seen with increasing severity of disease.
Post-translational modifications:
Palmitoylated.
Met-110 and Met-136 are oxidized to methionine sulfoxides.
Phosphorylation sites are present in the extracelllular medium.
DISEASE:
Defects in APOA1 are a cause of high density lipoprotein deficiency type 2 (HDLD2) [MIM:604091]; also known as familial hypoalphalipoproteinemia (FHA). Inheritance is autosomal dominant.
Defects in APOA1 are a cause of the low HDL levels observed in high density lipoprotein deficiency type 1 (HDLD1) [MIM:205400]; also known as analphalipoproteinemia or Tangier disease (TGD). HDLD1 is a recessive disorder characterized by the absence of plasma HDL, accumulation of cholesteryl esters, premature coronary artery disease, hepatosplenomegaly, recurrent peripheral neuropathy and progressive muscle wasting and weakness. In HDLD1 patients, ApoA-I fails to associate with HDL probably because of the faulty conversion of pro-ApoA-I molecules into mature chains, either due to a defect in the converting enzyme activity or a specific structural defect in Tangier ApoA-I.
Note=A mutation in APOA1 is the cause of amyloid polyneuropathy-nephropathy Iowa type (AMYLIOWA); also known as amyloidosis van Allen type or familial amyloid polyneuropathy type III. AMYLIOWA is a hereditary generalized amyloidosis due to deposition of amyloid mainly constituted by apolipoprotein A1. The clinical picture is dominated by neuropathy in the early stages of the disease and nephropathy late in the course. Death is due in most cases to renal amyloidosis. Severe peptic ulcer disease can occurr in some and hearing loss is frequent. Cataracts is present in several, but vitreous opacities are not observed.
Defects in APOA1 are a cause of amyloidosis type 8 (AMYL8) [MIM:105200]; also known as systemic non-neuropathic amyloidosis or Ostertag-type amyloidosis. AMYL8 is a hereditary generalized amyloidosis due to deposition of apolipoprotein A1, fibrinogen and lysozyme amyloids. Viscera are particularly affected. There is no involvement of the nervous system. Clinical features include renal amyloidosis resulting in nephrotic syndrome, arterial hypertension, hepatosplenomegaly, cholestasis, petechial skin rash.
Similarity:
Belongs to the apolipoprotein A1/A4/E family.
SWISS:
P02647
Gene ID:
335
Database links:Entrez Gene: 335Human
Omim: 107680Human
SwissProt: P02647Human
Unigene: 93194Human
Important Note:
This product as supplied is intended for research use only, not for use in human, therapeutic or diagnostic applications.
- 产品图片
Sample:
intestinal (Mouse) Lysate at 40 ug
Primary: Anti-APOA1 (bs-0849R) at 1/300 dilution
Secondary: IRDye800CW Goat Anti-Rabbit IgG at 1/20000 dilution
Predicted band size: 28 kD
Observed band size: 28 kD
Paraformaldehyde-fixed, paraffin embedded (Rat skeletal muscle); Antigen retrieval by boiling in sodium citrate buffer (pH6.0) for 15min; Block endogenous peroxidase by 3% hydrogen peroxide for 20 minutes; Blocking buffer (normal goat serum) at 37°C for 30min; Antibody incubation with (APOA1) Polyclonal Antibody, Unconjugated (bs-0849R) at 1:500 overnight at 4°C, followed by a conjugated secondary (sp-0023) for 20 minutes and DAB staining.
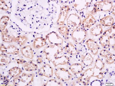
Tissue/cell: Human kidney tissue; 4% Paraformaldehyde-fixed and paraffin-embedded;
Antigen retrieval: citrate buffer ( 0.01M, pH 6.0 ), Boiling bathing for 15min; Block endogenous peroxidase by 3% Hydrogen peroxide for 30min; Blocking buffer (normal goat serum,C-0005) at 37℃ for 20 min;
Incubation: Anti-APOA1 Polyclonal Antibody, Unconjugated(bs-0849R) 1:400, overnight at 4°C, followed by conjugation to the secondary antibody(SP-0023) and DAB(C-0010) staining
Tissue/cell: human kidney tissue; 4% Paraformaldehyde-fixed and paraffin-embedded;
Antigen retrieval: citrate buffer ( 0.01M, pH 6.0 ), Boiling bathing for 15min; Block endogenous peroxidase by 3% Hydrogen peroxide for 30min; Blocking buffer (normal goat serum,C-0005) at 37℃ for 20 min;
Incubation: Anti-APOA1 Polyclonal Antibody, Unconjugated(bs-0849R) 1:200, overnight at 4°C, followed by conjugation to the secondary antibody(SP-0023) and DAB(C-0010) staining
Tissue/cell: chicken intestine tissue; 4% Paraformaldehyde-fixed and paraffin-embedded;
Antigen retrieval: citrate buffer ( 0.01M, pH 6.0 ), Boiling bathing for 15min; Block endogenous peroxidase by 3% Hydrogen peroxide for 30min; Blocking buffer (normal goat serum,C-0005) at 37℃ for 20 min;
Incubation: Anti-APOA1 Polyclonal Antibody, Unconjugated(bs-0849R) 1:200, overnight at 4°C, followed by conjugation to the secondary antibody(SP-0023) and DAB(C-0010) staining
Blank control (Black line): Raji (Black).
Primary Antibody (green line): Rabbit Anti-APOA1 antibody (bs-0849R)
Dilution: 1μg /10^6 cells;
Isotype Control Antibody (orange line): Rabbit IgG .
Secondary Antibody (white blue line): Goat anti-rabbit IgG-PE
Dilution: 1μg /test.
Protocol
The cells were fixed with 70% ice-cold methanol overnight at -20℃ and then permeabilized with 0.1% PBS-Tween for 20 min at room temperature. Cells stained with Primary Antibody for 30 min at room temperature. The cells were then incubated in 1 X PBS/2%BSA/10% goat serum to block non-specific protein-protein interactions followed by the antibody for 15 min at room temperature. The secondary antibody used for 40 min at room temperature. Acquisition of 20,000 events was performed.

