产品中心
当前位置:首页>产品中心Anti-CHRNA7
货号: bs-1049R 基本售价: 780.0 元 规格: 50ul
- 规格:50ul
- 价格:780.00元
- 规格:100ul
- 价格:1380.00元
- 规格:200ul
- 价格:2200.00元
产品信息
- 产品编号
- bs-1049R
- 英文名称
- CHRNA7
- 中文名称
- 烟碱型乙酰胆碱受体α7抗体
- 别 名
- CHRFAM7A; ACHA7_HUMAN; cholinergic receptor, nicotinic, alpha 7; Neuronal acetylcholine receptor subunit alpha-7; ACHR ALPHA 7; AChR alpha 7 Receptor; Acra7; ALPHA-7NACHR; ALPHA7; ALPHA7 NICOTINIC ACETYLCHOLINE RECEPTOR; Alpha7 nicr; BTX; CHRNA7; CHRNA7-2; NACHR alpha7; NACHRA7; NARAD; Alpha 7 neuronal nicotinic acetylcholine receptor FAM7A hybrid; CHRNA7 (cholinergic receptor nicotinic alpha 7 exons 5 10) and FAM7A (family with sequence similarity 7A exons A E) fusion; CHRNA7; CHRNA7 DR1; CHRNA7 FAM7A fusion; CHRNA7 FAM7A fusion protein; D 10; D10; MGC120482; MGC120483. nicotinic α7; nicotinicα7; nicotinic α 7; nicotinic α-7; nicotinic-α7.
- 规格价格
- 50ul/780元购买 100ul/1380元购买 200ul/2200元购买 大包装/询价
- 说 明 书
- 50ul 100ul 200ul
- 研究领域
- 细胞生物 神经生物学 信号转导 细胞凋亡 通道蛋白 细胞膜受体
- 抗体来源
- Rabbit
- 克隆类型
- Polyclonal
- 交叉反应
- Human, Mouse, Rat, Chicken,
- 产品应用
- WB=1:500-2000 ELISA=1:500-1000 IHC-P=1:400-800 IHC-F=1:400-800 ICC=1:100-500 IF=1:100-500 (石蜡切片需做抗原修复)
not yet tested in other applications.
optimal dilutions/concentrations should be determined by the end user.
- 分 子 量
- 55kDa
- 细胞定位
- 细胞膜
- 性 状
- Lyophilized or Liquid
- 浓 度
- 1mg/ml
- 免 疫 原
- KLH conjugated synthetic peptide derived from human CHRNA7:441-502/502 <Cytoplasmic>
- 亚 型
- IgG
- 纯化方法
- affinity purified by Protein A
- 储 存 液
- 0.01M TBS(pH7.4) with 1% BSA, 0.03% Proclin300 and 50% Glycerol.
- 保存条件
- Store at -20 °C for one year. Avoid repeated freeze/thaw cycles. The lyophilized antibody is stable at room temperature for at least one month and for greater than a year when kept at -20°C. When reconstituted in sterile pH 7.4 0.01M PBS or diluent of antibody the antibody is stable for at least two weeks at 2-4 °C.
- PubMed
- PubMed
- 产品介绍
- background:
The Nicotinic Acetylcholine Receptors are members of a superfamily of ligand gated ion channels that mediate fast signal transmission at synapses. These receptors are thought to be hetero pentamers composed of homologous subunits. The proposed structure for each subunit is a conserved N terminal extracellular domain followed by three conserved transmembrane domains, a variable cytoplasmic loop, a fourth conserved transmembrane domain, and a short C terminal extracellular region. The Nicotinic Acetylcholine Receptor alpha 7 forms a homo oligomeric channel, displays marked permeability to calcium ions and is a major component of brain nicotinic receptors that are blocked by, and highly sensitive to, alpha bungarotoxin. Once this receptor binds acetylcholine, it undergoes an extensive change in conformation that affects all subunits and leads to opening of an ion conducting channel across the plasma membrane.
Function:
After binding acetylcholine, the AChR responds by an extensive change in conformation that affects all subunits and leads to opening of an ion-conducting channel across the plasma membrane. The channel is blocked by alpha-bungarotoxin.
Subunit:
Homopentamer. Interacts with RIC3; which is required for proper folding and assembly.
Subcellular Location:
Cell junction, synapse, postsynaptic cell membrane; Multi-pass membrane protein. Cell membrane; Multi-pass membrane protein.
Similarity:
Belongs to the ligand-gated ion channel (TC 1.A.9) family. Acetylcholine receptor (TC 1.A.9.1) subfamily. Alpha-7/CHRNA7 sub-subfamily.
SWISS:
P36544
Gene ID:
1139
Database links:Entrez Gene: 1139Human
Entrez Gene: 374001Chicken
Entrez Gene: 282178Cow
Entrez Gene: 11441Mouse
Entrez Gene: 25302Rat
Omim: 118511Human
SwissProt: P22770Chicken
SwissProt: P54131Cow
SwissProt: P36544Human
SwissProt: Q8IUZ4Human
SwissProt: P49582Mouse
SwissProt: Q05941Rat
Unigene: 88Cow
Unigene: 511772Human
Unigene: 113464Mouse
Unigene: 9698Rat
Important Note:
This product as supplied is intended for research use only, not for use in human, therapeutic or diagnostic applications.
- 产品图片
Sample: Rrain(Mouse) lysate at 30ug;
Primary: Anti- CHRNA7 (bs-1049R) at 1:300 dilution ;
Secondary: HRP conjugated Goat-Anti-rabbit IgG(bs-0295G-HRP) at 1: 5000 dilution;
Predicted band size: 55 kD
Observed band size: 55kD
Sample:
Lymph (Mouse) Lysate at 40 ug
Primary: Anti- CHRNA7 (bs-1049R) at 1/1000 dilution
Secondary: IRDye800CW Goat Anti-Rabbit IgG at 1/20000 dilution
Predicted band size: 55 kD
Observed band size: 55 kD
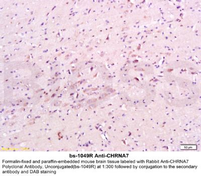
Tissue/cell: mouse brain tissue; 4% Paraformaldehyde-fixed and paraffin-embedded;
Antigen retrieval: citrate buffer ( 0.01M, pH 6.0 ), Boiling bathing for 15min; Block endogenous peroxidase by 3% Hydrogen peroxide for 30min; Blocking buffer (normal goat serum,C-0005) at 37℃ for 20 min;
Incubation: Anti-CHRNA7 Polyclonal Antibody, Unconjugated(bs-1049R) 1:200, overnight at 4°C, followed by conjugation to the secondary antibody(SP-0023) and DAB(C-0010) staining
Tissue/cell: human kidney tissue;4% Paraformaldehyde-fixed and paraffin-embedded;
Antigen retrieval: citrate buffer ( 0.01M, pH 6.0 ), Boiling bathing for 15min; Blocking buffer (normal goat serum,C-0005) at 37℃ for 20 min;
Incubation: Anti-CHRNA7 Polyclonal Antibody, Unconjugated(bs-1049R) 1:200, overnight at 4°C; The secondary antibody was Goat Anti-Rabbit IgG, Cy3 conjugated(bs-0295G-Cy3)used at 1:200 dilution for 40 minutes at 37°C. DAPI(5ug/ml,blue,C-0033) was used to stain the cell nuclei

